文章插图
黑头粉刺可能会停止增长 , 排除粉刺内容物 , 然后消失;它也可能继续长大 , 存在数月甚至数年;甚至 , 它可能引发感染或朝皮肤深处发展 , 导致丘疹和脓疱等更严重的症状 。
星星之火 , 可以燎原;点点粉刺 , 可以毁脸 。
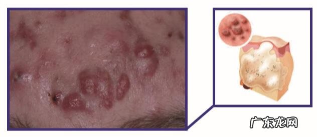
3.主管级痤疮-丘疹

文章插图
这一步 , 就是炎症的开始了 。
丘疹是皮肤上小而隆起的疙瘩 , 通常为红色 , 质软 。
人体分泌的皮脂成了微生物(痤疮丙酸杆菌)最好的食物 , 在吃饱喝足后 , 微生物开始大量繁殖 。
而被分解的皮脂变成了游离脂肪酸 , 同时趋化炎症细胞聚集引起毛囊损伤 , 促炎脂质和角蛋白被挤压进入表皮或真皮浅层 , 从而导致炎症性丘疹的形成 。
简单来说 , 就是毛孔里的“坏东西”越来越多 , 而毛孔被堵着出不去 , 就渐渐往深处发展 , 形成了丘疹 。
量变引起质变 , 哪里都是这样 。
4.经理级痤疮-脓疱

文章插图
丘疹恶化后 , 就会进一步形成脓疱 。
在丘疹处 , 大量白细胞堆积形成白色脓头 , 挤压会有脓液 。
如果说粉刺相当于一个痤疮界的小职员 , 那脓疱已经是经理级的痤疮了 , 这种时候就别急着护肤和看科普了 , 赶紧就医!
5.老板级痤疮-结节囊肿

文章插图
这里其实要区分为结节和囊肿 。
结节是由炎性浸润或代谢产物沉积于真皮及皮下组织所致 , 通常是凸起的 , 红色或紫色的疙瘩 , 一般来说摸起来比较硬 。
就像打仗一样 , 敌人占领了几个村庄 , 于是我们派遣军队过去打败敌人夺回村庄 , 但军队进入村庄也好 , 还是打仗留下的印记也好 , 总归会对村庄造成影响 , 如果打得太激烈 , 整个村庄都会被毁掉 。
同理 , 结节的产生就是我们人体本身的免疫细胞和外界的“坏东西”战斗太过激烈 , 免疫细胞及其代谢产物过多 , 战斗时间过长 , 就导致了皮肤结节 。
而囊肿的位置更深 , 是真皮或皮下由脓液和血液形成的混合物 。
简单举例 , 一块本来肥沃的土地 , 因为打仗 , 导致这块地不再肥沃 , 甚至连野草都长不出来了 。
结节和囊肿是老板级别的痤疮 , 在痤疮界也称得上是扛把子 , 治疗起来非常麻烦 , 所以千万不要让痤疮发展到这一步才想到来就医 。

文章插图
治好痤疮 , 不代表治好了皮肤 。
在痤疮病理性完全消退后 , 它还会在皮肤上留下一些“纪念” , 告诉世界 , 它曾来过 。
1.痤疮红斑

文章插图
在炎症后 , 会有持久性红斑、色素沉着 。
- 白芨长什么样?价钱多高?
- 山东青山羊一年几胎?
- 慈纹花的花期 慈纹花长什么样子
- 打瓜适合生长的环境 打瓜的种植方法与管理
- 长安逸动国六什么时候上市时间
- 老年康复中心新闻里长者照护之家
- 长安cs55新款2020款什么时候上市
- 适合枸杞生长的自然条件 枸杞的种植与生长条件
- 虹之玉生虫子怎么办 虹之玉长虫了怎么办
- 肉牛养殖周期一般有多长?
特别声明:本站内容均来自网友提供或互联网,仅供参考,请勿用于商业和其他非法用途。如果侵犯了您的权益请与我们联系,我们将在24小时内删除。
