犬猫孑宫蒂部蓄脓症(Uterine stump pyometra)
卵巢不彻底切除的犬猫 , 残余的子宫卵巢机构会释放出来黄体生成素(黄体铜Progesterone) , 使残余的子宫卵巢和孑宫再次出現发情期时的生理学转变 , 进而出現变病 。
现阶段这类病症的发病率愈来愈高 , 病症的主要表现十分相近子宫炎(阴道内流脓性分泌物 , 食欲不振 , 多饮 , 精神差) , 试验室指标值也会出現核左移的单核细胞上升 。
治疗方法主要是手术医治 , 再次开腹手术 , 摘除残余的子宫卵巢和孑宫 。
孑宫蒂部蓄脓症的防止方式是手术治疗时彻底摘除子宫角和宫体 , 宫体的结扎手术位置恰好在宫颈的头侧方位 。子宫卵巢也应当彻底切除 , 减去子宫卵巢悬吊训练肌腱时 , 一定要认真仔细是不是有残余的子宫卵巢机构 。不能速即手术缝合线、欠佳的无菌操作原则和手术中孑宫保存过多不活性的机构 , 都是会造成孑宫蒂部炎症和肉芽肿性炎 , 因而手术全过程中应当防止这种状况的出現 。
病例分享
病案一
【犬猫孑宫蒂蓄脓症与病例分享】 混血儿犬 , 十五岁 , 雌虫 , 5年前做了绝育手术术 。近期一个月阴道内经常出現脓性分泌物 , 精神实质胃口内未见异常 。十几天前开展血夜常规体检和x光查验 , 内未见异常 , 基本猜疑为泌尿系统发炎 , 开展抗菌素医治 。近期一周 , 阴道内出現粉红色分泌物 , 精神实质胃口稍弱 , 抽血化验 , 有核左移的嗜单核细胞提高状况 。B超查验显示信息孑宫断端积水 , 肾脏功能后才有团小块黑影 。

文章插图
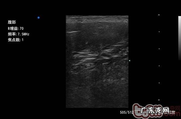
B超查验
B超查验:膀光骨间可探及杂带样构造 , 直徑1.5-2cm , 腔内呈无回音至低回声反射面;肾脏功能尾侧可探及低回声卵圆型构造 , 长短约1.4-1.5厘米 。
膀光壁变厚 , 腔内可探及高回音光斑反射面 。
开展开腹手术查验 , 发觉残余的子宫卵巢和孑宫机构 。切除后 , 健康状况改进 , 末见别的出现异常 。
摘除机构开展病理生理学查验 。结果是粒层体细胞/卵子膜细胞瘤 。它是子宫卵巢最普遍的恶性肿瘤 。此病案中 , 恶性肿瘤很有可能始于紊乱性粒层体细胞 , 由于依据临床医学病历 , 复检样版中末见子宫卵巢机构 。那样的恶性肿瘤少见迁移的状况 。预后良好 。
病案二
混血儿猫 , 十三岁 , 雌虫 , 大约十年前做了绝育手术 。近期一段时间突然冒出食欲不振和削瘦状况 。抽血化验有慢性肾衰状况 。腹腔可以触碰到一个强回音的低回声区 。

文章插图
B超查验
B超查验 , 腹部内有一高回音团装物 , 肾脏功能轮廊凸凹不平 。
此猫由于存有慢性肾衰的难题 , 体质虚寒 , 开腹手术探察存有非常大风险性 。可是为了更好地处理压根难题务必手术医治 。历经沟通交流 , 主人家想要接纳手术治疗风险性 , 遂开展开腹手术探察 。
特别声明:本站内容均来自网友提供或互联网,仅供参考,请勿用于商业和其他非法用途。如果侵犯了您的权益请与我们联系,我们将在24小时内删除。
