其实 , 宫外孕只占成功顺利宫内妊娠的非常小的比例 。科学理解和认识宫外孕非常重要 。
06 介入疏通是否可以做第二次?
当然可以 , 按照个体情况和需求 , 比如说有部分女性输卵管介入后 , 备孕一段时间后仍未成功怀孕 , 可咨询医生意见 , 考虑输卵管造影二次介入 。
病例介绍
NO.1
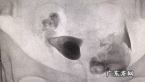
患者 , 32岁 , 顺产女婴2年后 , 未避孕未孕1年 , 外院造影提示右侧输卵管堵塞 , 介入再通治疗后 , 顺产1女 。

文章插图

文章插图

文章插图
NO.2
患者 , 28岁 , 结婚1+年 , 性生活正常未孕 , 诊断为:原发性不孕 。造影提示右侧输卵管堵塞 , 介入治疗后已孕28周 。

文章插图

文章插图
专家介绍

文章插图
钟红珠
妇产科副主任医师
1993年毕业于汕头大学医学院临床医学专业 , 从事妇产科临床工作27年 , 对妇产科内分泌失调、功能失调性子宫出血不孕的治疗、对孕妇及胎儿的监护 , 减少孕产妇的疾病及胎儿畸形等方面有较丰富的临床经验 。参与市科研项目1项 , 2009年获得市科学技术进步奖二等奖 , 在省级以上刊物发表论文多篇 , 所发表的论文具有较高的科学性、实用性、进步性 , 对临床工作有较好的指导作用 。

文章插图
林苑
妇产科副主任医师
1995年毕业于汕头大学医学院临床医学专业 , 2010年取得副主任医师资格 。毕业后一直从事妇产科临床工作 , 专业理论基础扎实 , 临床经验丰富 , 具有抢救妇产急症及疑难疾病的诊治经验 。曾参与市科研项目2项 , 在国家级期刊发表论文多篇 。

文章插图
纪 斌
介入中心外周血管介入组副组长 副主任医师
毕业于广州医科大学临床医学专业 , 从事影像诊断学及介入治疗学13年, 曾在广东省人民医院进修介入 , 现任广东省临床医学学会肿瘤介入学专业委员、广东省医师协会血管病分会第一届委员会委员、广东省医学会介入医学分会青年委员、汕头市医学会放射学专业委员会介入组委员 。
专业特长:肝癌、肺癌、食道癌等肿瘤的综合治疗 , 下肢动脉硬化闭塞症及糖尿病足、下肢深静脉血栓的序贯性介入治疗 , 肝血管瘤、子宫肌瘤及子宫腺肌症等各类血管性疾病的介入诊疗 。
- 输卵管堵塞怎么能排出来 输卵管堵塞能排卵吗?
- 胶南管道疏通 东营疏通下水道电话
- 输卵管通而不畅是啥意思 输卵管造影副作用是什么
- 输卵管堵塞有什么样症状 输卵管不通的症状表现
- 输卵管造影的步骤过程 输卵管造影术怎么做
- 输卵管堵塞怎么治疗好得最快 输卵管堵塞怎么治疗最好
- 输卵管复通的手术步骤 输卵管复通手术全过程
- 烧碱可以用来疏通下水道吗 火碱通马桶下水道的步骤是什么
- 为什么输卵管堵塞 输卵管堵塞会有排卵吗
- 输卵管造影后有什么不良反应 做输卵管造影的副作用
特别声明:本站内容均来自网友提供或互联网,仅供参考,请勿用于商业和其他非法用途。如果侵犯了您的权益请与我们联系,我们将在24小时内删除。
