
文章插图
每次天热时穿短袖衣服就会怕有人问起“你手臂上长的是什么啊 , 会不会传染啊?”;每当看到别人光滑亮白的手臂 , 就会心生羡慕;每次看到“祖传秘方”包根治的广告 , 就会忍不住心动 。这些都是“牛皮癣”患者的切身感受 。
何谓“牛皮癣”?
在西医领域 , “牛皮癣”是银屑病的俗称 , 它是一种常见的皮肤病 , 虽然带“癣”字 , 但并非大家理解的癣病 , 它不是由真菌感染引起的 , 不具有传染性 。它是遗传与环境共同作用诱发的慢性、复发性、炎症性、全身疾病 , 除皮肤症状外 , 可能会累及关节、指甲、头皮、掌跖等部位 。银屑病主要出现在青年和中年人群 , 儿童、老年人发病率低 。对于有家族史的人 , 其发病会较早 。中国银屑病患病率约为0.47% , 银屑病患者超过650万人 。

文章插图
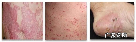
银屑病可以细分为5种:斑块状银屑病、点滴状银屑病、脓疱型银屑病、红皮病型银屑病和关节型银屑病 , 其中绝大多数(90%)患者得的是斑块状银屑病 。

文章插图
斑块状银屑病 点滴状银屑病 脓疱型银屑病

文章插图
红皮病型银屑病 关节型银屑病
牛皮癣为什么会找上门?
银屑病是由内外因素共同作用引起的 。内因包括患者的遗传背景 , 免疫状况 , 内分泌等因素 。外因有压力、感染、外伤、天气变化、抽烟、某些药物等因素 。

文章插图
得了牛皮癣 , 四处难幸免
银屑病影响的不仅是皮肤 , 银屑病可能会发生在一些特殊部位 , 影响日常活动 。
国外数据显示:
30%的银屑病患者累及关节 , 可能发生关节畸形病变、功能退化、甚至残疾 。
16%的患者累及指甲 , 出现疼痛、变形 , 93%的患者因此影响日常社交 。
37%的患者累及头皮 , 出现疼痛、刺痒、流血等症状 。
12%的患者累及掌跖 , 出现疼痛、行走困难、手部活动障碍 , 患者会有更强的不适感和更高的残疾风险 。
牛皮癣不用慌 , 多方案齐登场
【头皮牛皮皮癣怎么造成的 头皮有牛癣】银屑病患者应当如何治疗?
轻度银屑病患者:可使用外用药膏 , 辅以光疗 。

文章插图

文章插图
中重度银屑病:需要开始系统性治疗 , 如注射生物制剂、服用口服药物 。

文章插图

文章插图
做到这五项 , 病魔直接凉
需要注意的是 , 目前还没有能根治银屑病的药物 , 因此预防复发非常重要 。斗“牛”士们在日常生活中要怎么做 , 才能延长银屑病复发的时间间隔?
① 调畅情志
治病先治人 , 只有整个人的状态好了 , 才能拥有更好的抗病能力 。银屑病患者本来就有一定的心理压力 , 再加上周围有些人的态度不好 , 患者更容易焦虑、抑郁 。精神紧张是银屑病很常见的诱发因素 , 所以患者要学会坦然接受、积极面对、正确治疗、劳逸结合 , 身心愉悦才能更好地生活 。
- 牛肉汤怎么做好吃不油腻?
- 牛油果和柿子能一起吃吗 隔多久可以吃
- 牛奶汤的做法有哪些呢
- 牛奶菌菇汤的做法有哪些呢
- 番茄牛肉汤制作方式有哪些呢
- 60款最牛逼的个性签名
- 过期牛奶可以浇花吗牛奶浇花有什么好处
- 牛蒡羊肉汤的做法
- 时尚男士服装搭配技巧 牛仔衣牛仔裤很搭
- 和合术 孔雀道长法事最灵验牛
特别声明:本站内容均来自网友提供或互联网,仅供参考,请勿用于商业和其他非法用途。如果侵犯了您的权益请与我们联系,我们将在24小时内删除。
