大家好!我是小王医生!全军心脏病介入中心副主任医师!

文章插图
这个问题真是正中下怀 。作为专业的心血管医生和大家一起分享这个话题 。

文章插图
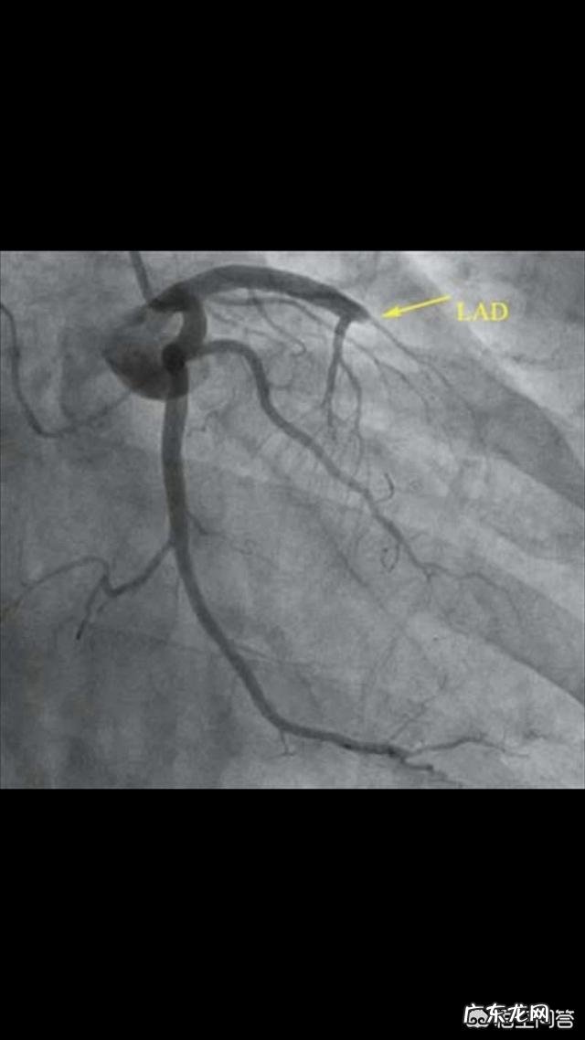
心脏有三个大血管 , 右侧一个右冠 , 左侧两个前降支和回旋支 。

文章插图
堵塞一个到底心脏能不能正常运转 , 这和堵在什么地方 , 堵多长时间有着密切的关系 。
我们先假设堵死的时间相同 , 只是堵塞部位不同 , 那么三个血管相对来说 , 前降支最大 , 风险最高 , 死亡率最高;右冠和回旋支相对要风险低一些 。也就是堵了前降支心脏不能正常运转可能性大 , 堵了别的两个相对会正常运转 。
(右冠堵塞)
(前降支堵塞)
但这里面还有一个问题 , 堵在血管根部的还是末梢 , 堵在根本都会有生命危险 , 堵在末梢 , 即使在前降支也不会影响正常运转 。还有就是特殊性 , 每个人血管大小不一样 , 并不是每个人前降支都最大 , 供血都最多 。
第二个问题 , 时间 。比如血管堵死了 , 三十分钟开通 , 和十个小时开通效果完全不一样 。我们假设同一个血管堵塞 , 都是前降支 。一个人三十分钟开通 , 那么不但会救命而且以后和正常人一样 , 也不会心衰 。如果十个小时开通 , (假设还能活十个小时)那么就算救活 , 心衰的可能性几乎百分百 。
所以 , 心脏虽然有三个血管 , 堵塞一个 , 还有两个 , 但每一个血管都是非常非常重要的 , 是无可替代的 。心脏就如同自己拳头那么大 , 要永不停歇的工作满足全身的需要 , 一旦血管堵塞 , 必定有心肌坏死 , 即使能够存活 , 也必定或多或少影响正常功能 。
即使堵塞一个 , 有两个可以运转 , 但也不是正常运转 , 因为已经影响了寿命 , 必定影响心脏功能 。
所以 , 小王医生一直致力于普及冠心病知识 , 请大家以预防冠心病为主 。心绞痛早就诊 , 胸痛持续不缓解 , diyi时间拨打120!
@小王医生说健康 要将冠心病科普进行到底!
为什么青蛙的心脏被拿出来 , 离开身体后 , 还能跳动两个小时左右很简单 , 心脏有点像身体的独立机构 , 它的跳动是自己独立完成的!

文章插图
不止是青蛙的 , 只要你手够快 , 眼够急 , 几乎所有动物的心脏拿出来都还会继续跳动 。

文章插图
我以前做实验的时候 , 青蛙可能是我杀最多的动物(都是实验需要 , 不要见怪) , 我们经常用一根针在扎入青蛙的脑髓 , 然后搅动几下 , 青蛙就完全死亡了 , 然后取出心脏 , 确实还会跳动的 。

文章插图
其实题主说的跳动两个小时估计是要放在培养液中 , 如果是放在普通清水的话估计十几分钟就了事了 。
- 台北旅游景点有哪些 台北十大旅游景点排行榜
- 去扬州是否需要隔离 杭州回扬州需要隔离吗
- 马鞍山有什么特色美食 马鞍山美食排行榜前十名
- 孕妇可以吃芒果吗?孕妇可不可以吃芒果
- 甲醛对孕妇的危害 甲醛孕妇危害有多大
- 【狗狗有多少种血型】犬的血型介绍
- 素食动物有哪几种 十大素食宠物
- 世界上最稀有的鸟类 世界十大受欢迎的宠物鸟
- 从杭州到镇江需要报备吗?
- 不放沙发的客厅还能这么有个性,绕客厅一圈打卡座,被炫到了
特别声明:本站内容均来自网友提供或互联网,仅供参考,请勿用于商业和其他非法用途。如果侵犯了您的权益请与我们联系,我们将在24小时内删除。
