牙疼已经严重影响睡眠怎么办【经常失眠,半夜醒来,难以入睡,吃什么东西可以改善睡眠质量】俗话说的好“牙疼不是病,疼起来真要命”,小小牙齿疼痛时可能对生活、工作带来严重障碍 。作为一名口腔医生,我的回答是:牙齿明显龋坏,经常反复疼痛,完善相关检查(口腔X片、口腔CBCT)后评估能否可以保留,否则就需要及时拔除后选择合适的方式恢复缺牙 。

文章插图

文章插图
牙齿坏了很多,为什么会引起疼痛?牙体组织发生细菌感染时,其硬组织就会逐渐崩解 。当累及牙神经时,就会发生牙髓炎,急性牙髓炎疼痛比较剧烈,可以牵涉到一侧面部、头部不适,不能够明确定位 。若是没有及时处理,大多会转变为慢性牙髓炎,就会引起反复疼痛 。

文章插图
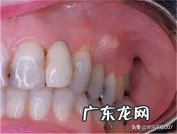
此外,当根管内的细菌突破牙根,就会引起根尖周组织的感染,其中形成骨膜下脓肿时会发生明显的搏动性跳痛,最常见的表现就是牙根对应的牙龈出现鼓包、流脓等 。

文章插图

文章插图
牙齿为什么需要拔除了?牙齿,在医生的眼中是极其重要的,但是当感染不易控制及剩余的牙体组织过少不易修复时,就只有采取拔牙的操作了 。
如牙齿折裂,其裂纹可以深达根尖,口腔zhi疗不能够很好的封闭,因此需要及时拔牙;牙齿形成短短的残根,甚至缺损至牙龈下面,根管zhi疗后没有足够的长度进行恢复,也需要拔牙;当牙齿周围组织感染较重,经常牙龈红肿、流脓,且松动非常明显,一般也需要拔牙 。
牙齿长度不足或其存在不易控制的感染时,就该及时拔牙了,有助于控制局部感染症状,避免累及周围正常的牙体组织 。临床数据表明,一颗存在严重牙周感染的残根,若是拖延不拔,甚至任其松动脱落,和积极评估后早期拔牙相比,拔牙后的牙槽骨明显吸收,周围的健康牙体组织有不同程度的影响,不利于后期任何方式的镶牙 。
拔牙后怎么选择镶牙方式?发生缺牙后,目前的镶牙方式有种植牙修复、传统固定义齿、活动义齿修复 。至于具体选择什么方式要根据牙槽骨条件及本身的意愿而定 。
固定修复,可以恢复较好的咀嚼功能,舒适度、美观性能较好,但是需要严格的适应症,以种植牙的要求为甚 。
活动修复,理论上任何牙列缺损都可以恢复,甚至摘除一截颌骨后也可以修复 。但是其部件较大,异物感明显,需要较长时间去适应 。
总结牙齿虽小,但是疼痛起来却让人困扰,有时候严重的根尖周感染,没有及时控制后容易往周围的组织扩散,甚至引起严重的间隙感染,给生命安全带来严重威胁 。总之,牙齿发生病变后,完善相关检查后评估无保留价值者,就该及时拔除牙齿,避免病变累及周围组织 。此外,拔除患牙是不会导致周围牙齿松动的,可以放心处理 。
- 焦虑症患者经常打气嗝,这是为何
- 失眠、入睡困难,吃完安眠药还得一两个小时才能睡着,该怎么办
- 用什么方法给孩子补充微量元素?
- 经常生病的人不得大病,是真的吗?为何?
- 代餐粉能减肥吗?经常吃会有副作用吗?
- 经常听说每天生吃苦瓜可以减肥,那吃苦瓜粉能减肥吗?
- 头皮里经常长疙瘩,可能有哪些原因?有没有哪些快速消除的办法?
- 你有失眠的经历吗是怎么度过的
- 对于那种卖夜宵每天晚上经常熬夜的人来说,该如何减肥
- 女生经常跳绳,会使乳房增大吗有哪些科学依据吗
特别声明:本站内容均来自网友提供或互联网,仅供参考,请勿用于商业和其他非法用途。如果侵犯了您的权益请与我们联系,我们将在24小时内删除。
