■ 宝拉珍选水杨酸焕彩精华液(含2%水杨酸)

文章插图
可以配合上面的杏仁酸一起使用,效果会更好,帮助细胞新陈代谢,消除粉刺暗疮,淡化痘印 。
少吃或者不吃辛辣刺激、难以消化的食物、和油炸食品 。远离人工添加剂、慎用激素、避孕药 。多吃富含维生素C多的水果和素菜如:百果香、柠檬、猕猴桃等 。
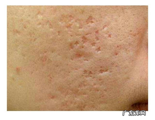
首先要明白痘坑是怎么形成的,是因为真皮层的胶原蛋白被破坏和腐蚀掉了,所以真皮胶原缺失了,当伤口愈合后胶原蛋白不会长回来,就形成凹陷也就是痘坑 。
那么,痘坑如何治疗呢,只能医学美容了 。目前最有效祛痘坑的方法就是点着激光和微针治疗 。

文章插图
简单说就是刺激真皮深层干细胞活跃表达,促进皮肤的新生,一般间隔3-6个月治疗一次,大概治疗2-5次即可看到治疗效果 。
副作用:操作不当会让伤口出血,或者热量过高,引起面部灼伤 。

文章插图
用滚动的微针工具,由微孔与点阵剥落性激光穿插有健康组织的皮肤,可促进伤口愈合,治疗时间一般半年到一年左右 。
副作用:严重心脏病发期,高血压、高血糖、血凝机制差,神经系统紊乱、疤痕增生性皮肤慎重使用、怀孕期、哺乳期和月经期禁用、对蛋白质和金属过敏者都是不适合进行微针美塑的治疗的 。
来来来,先上男友一张筛子一样的脸 。

文章插图
男生对于面部清洁真的很不上心!!女生就好很多,但是还是不排除有很多人不注意洗脸的方法还有一些日常的保护 。所以,我就来说一些家常能做到的简单总结啦!!
1.洗脸前一定先洗手好吗!脏爪子洗脸……想想都不好啊
2.温和洗面奶和清洁洗面奶同用 。尤其是有痘痘的,常备温和洗面奶很重要(!!真的很重要!!推荐:丝塔芙,温和中的王牌;旁氏米粹,便宜好用) 。清洁类的洗面奶不要每天都用!一周两三次就好了 。
3.洗脸时间不要太长啊喂…尤其不要搓搓搓起来,半分钟就够了 。又不是洗画皮……
4.温水洗脸 。不是冷水,不是热水,也不是冷热交替,是温水……
5.毛巾一定注意清洁 。最好两三天洗一下 。还有就是在用的时候,不要上下揉搓使脸变干,而应该是轻按,让毛巾吸收脸部水分 。
6.涂保湿霜 。不涂保湿霜,脸真的白洗了,水分也出来了,脏东西也进去了……
7.多喝水,多喝热水………健康饮食和保持身体水分比任何护肤品都有用的多 。
8.以上这些,如果整天熬夜,那么一切等于零 。
做到这些,加上好的心态和生活方式,痘痘还有痘印真的会慢慢消失哒 。不要乱用化妆品护肤品,脸蛋也是有承受能力的哦 。
希望大家新年皮肤越来越好!点赞求鼓励(*?′╰╯`?)?
先说本人吧,不知道为什么高中开始陆陆续续的长痘,虽然没有很恐怖但是很烦恼 。当时根本不懂化妆品更别提用遮瑕膏了 。我当时只有额头上起痘痘,现在想来应该是刘海太厚了的缘故啊(我额头大爱留刘海),我现在也有刘海但是很轻薄所以痘痘基本长的少在家里我都会别起来 。所以说有刘海的话头发要经常洗要不额头很容易长痘痘的 。好了,我们正式说下祛痘痘的事,我的痘痘其实到现在也还有长,而且我手贱经常挤它所以很爱留印子,但是我的印子经过好长一段时间还是能看到浅浅的印记让我很烦恼 。(我同学白不说痘印也好的很快及基本几天就很浅了)我后来又一次去医院看过敏医生说我的皮肤修复能力差 。如果博主你的痘印消的慢也很有可能皮肤修复能力不行 。后来我就买了很多去痘印的东西我都有用,伊思的蜗牛霜啊各种祛痘的去痘印的产品,后来我发现还是维生素E好用,内服可以买养生堂的,外用可以买乐敦的 。我用了这么多还是觉得这个会快一点,希望对你有帮助 。
- 如何判断水果是凉性还是温性?
- 如何选择夏日中药减肥茶?
- 给你支招如何预防更年期肥胖
- 不同面料,如何挑选防辐射服?
- 淘宝一个宝贝可以开多个直通车吗?如何开直通车?
- 淘宝直通车开多久有反应?如何使用直通车?
- 女性朋友如何拥有迷人的臀部呢?
- 瘦腿的方法有哪些呢?
- 不要瘦了身体连胸部也瘦了 1/2
- 苗条美人就是这么来的 1/2
特别声明:本站内容均来自网友提供或互联网,仅供参考,请勿用于商业和其他非法用途。如果侵犯了您的权益请与我们联系,我们将在24小时内删除。
