一、改正宝宝夜里吸吮奶瓶的坏习惯
从上述引起宝宝奶瓶龋的原因中,我们不难知道夜里吸吮奶瓶是引起宝宝奶瓶龋的重要原因 。所以,在平时家长一定要帮助宝宝戒除在夜里吸奶瓶的坏习惯 。
二、时刻保持宝宝口腔的卫生
在日常生活中,家长一定注意在早上和宝宝睡觉前都给宝宝刷牙,只有这样才能避免宝宝因为不刷牙而导致大量细菌在口腔残留和滋生 。另外,家长在给宝宝刷牙的时候,也应该要采用竖着刷牙这一正确的刷牙方式,这样的刷牙方式才能更好地帮助宝宝清洁牙齿及口腔 。
擅长牙周炎,口腔溃疡,口臭,口腔癌,牙齿矫正等口腔科疾病的治疗 。
觉得本文有用,欢迎点赞或推荐给朋友,并关注【医联媒体】 。
前段时间,相信不少家长看过这样的新闻:长沙一位4岁女宝,因为有着含奶瓶入睡的习惯,导致15颗牙齿全部烂掉,牙龈红肿,牙齿发黑,一吃东西就疼得嚎啕大哭 。6月15日,这个小女孩在全麻状态下,接受了5位医护人员历时4个小时的治疗,一次治完了所有烂牙 。
新闻中的小女孩这样的案例,在我们身边并不少见 。这些宝宝龋病的发生,一般都与使用奶瓶喂养有关 。
宝宝长时间吸吮奶瓶(有的宝宝睡觉时都不离口),导致口腔内腐蚀牙体的细菌大量繁殖,久而久之牙齿脱钙、牙冠剥脱,就会形成黑色的残根或牙渣,从而引发“奶瓶龋” 。

文章插图
大多发生在2~4岁的孩子身上 。
我们家长要知道牙齿一旦龋蚀严重无法治疗,只能将乳牙过早拔除 。可是这会引起恒牙萌出秩序错乱甚至恒牙不齐,给孩子的牙齿发育带来不良影响 。
因此,一旦发现孩子有奶瓶龋的迹象,应及早带孩子去医院诊治 。
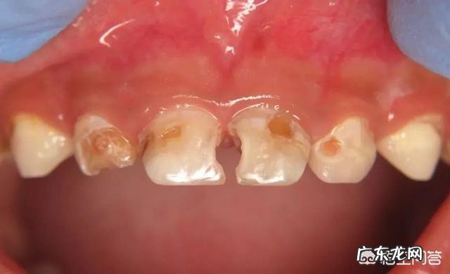
看图自测,你家宝宝奶瓶龋,发展到了哪个阶段?

文章插图
1、避免长时间使用奶瓶
尽量别让宝宝含着奶瓶睡觉,一旦孩子可以自己喝水,我们就应训练孩子自己使用水杯,逐步戒掉依恋奶嘴的坏习惯 。

文章插图
注意:喂完奶后,可以用温开水给宝宝漱口,可以有效清洗、冲走奶液在口腔中的残留,保持口腔环境良好 。
2、清理奶垢
妈妈沾湿的柔软纱布缠绕手指或者用专业的手指套湿巾轻轻地擦拭宝宝牙龈,可以将牙龈上的奶垢擦抹干净 。每次喂奶,最好不要超过15分钟,减少奶液浸泡牙齿的时间 。

文章插图
3、刷牙
当我们宝宝出第一颗牙齿时,就要开始刷牙了 。
家长应当选择适合宝宝口腔大小的小头牙刷,刷毛要比成人牙刷更软、更细 。
而牙膏则建议选用儿童含氟牙膏,用量的话,挤除约1 粒米大小的牙膏就够了 。这是非常安全的剂量,不用担心氟中毒 。

文章插图
4、定期检查
至少半年行一次口腔检查,如果发现宝宝已有早期“奶瓶龋”,请及时到医院就诊,可以适当的涂氟,延缓龋齿的进一步发展;切忌“牙疼才就医” 。

文章插图
婴儿从出生到14岁都属于龋齿的高危险期,当孩子的口腔出现问题了,要在第一时间解决,预防于未然 。
- 为什么家里总是有“毛絮”?学学年轻人的做法,3天不拖也干净
- 宫颈糜烂是癌变的征兆吗?
- 台湾火车出轨翻覆事故公布事故原因是“初判因转弯时超速”,你怎么看,是否合理?
- 吴昕是怎么变潮的?
- 让节食减肥变轻松的妙招
- “女忙人”隙缝时间的减脂运动
- 员工“毕业日”,是不是企业心酸日?
- “地摊梗”,谁懂其中心酸与无奈?
- 如何理解“身在曹营心在汉”这句话?最初是用来形容谁的呢?
- win7如何添加打印机
特别声明:本站内容均来自网友提供或互联网,仅供参考,请勿用于商业和其他非法用途。如果侵犯了您的权益请与我们联系,我们将在24小时内删除。
