◆肝囊肿症状之黄疸
黄疸是肝囊肿的症状之一,但是症状并不是很严重 。这是因为肝囊肿的出现挤压到了肝脏部位,影响到了肝脏内部的肝管和胆管,这个时候黄疸就出现了 。
◆肝囊肿症状之腹痛
大部分的肝囊肿患者都会出现腹痛的症状,这是由于囊肿长大压迫到内脏器官,从而引起的疼痛 。如果疼痛较为明显的话,还会引发腹膜炎,这个时候肝囊肿有可能出现破裂的可能 。
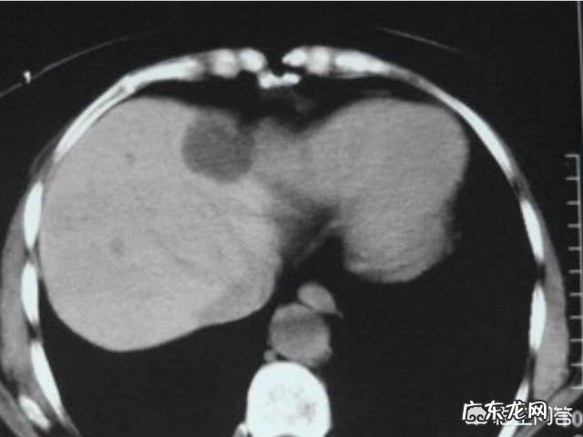
◆肝囊肿症状之腹部有硬块
腹部有硬块的出现也可能是肝囊肿早期的症状,这可以用来判断肝部是不是有囊肿的存在 。主要的症状表现就是用手按压腹部的位置,看是否能摸到硬块 。
◆肝囊肿症状之肠胃异常
当肝囊肿长大到一定的体积,正好占据了患者胃部,使得胃部受到了挤压,甚至压到了患者的十二指肠,就会使得患者出现腹胀,甚至恶心,没有食欲的症状 。
肝囊肿的症状还有很多,患者可以根据以上症状来判断自己是不是患有肝囊肿,但是要确定自己是不是有肝囊肿还要进一步去医院做检查,确诊以后就要及时进行治疗,否则随着肝囊肿的长大会损害肝功能,影响到身体健康 。
肝囊肿是一种常见于青壮年女性的疾病,通常是在做B超的时候检查发现的 。肝囊肿的疾病发展非常缓慢,伴随的症状也非常不明显,甚至有可能出现终身无症状的情况 。我们现在就来看一看临床上,肝囊肿都有哪些症状?
一,食欲不振、恶心呕吐 。肝囊肿的持续发展会导致囊肿的增大,而囊肿的增大会对肝脏附近的器官造成压迫,例如肠、胃等 。因此,患者往往会出现食欲不振、恶心呕吐的症状 。
二、腹部隐隐作痛 。肝脏位于腹腔上部右侧,不可避免的是,肝囊的肿大会给腹部造成不适感,然后引起腹部隐隐作痛或者钝痛 。腹部的疼痛不适感有的时候是比较强烈的,所以建议患者及时治疗 。
三、身体发热、畏惧风寒 。肝囊肿患者的肝脏一旦出现感染,白细胞出现异常,就会相应地出现身体稍稍发热、畏惧风寒的症状 。这种既发热又畏寒的症状往往让患者感到非常不安 。
以上三点,是肝囊肿患者比较常见的临床症状 。在早期,肝囊肿的症状一般是出现“发福”的迹象,也就是腰围、腹围的增大;也有可能是腹部出现硬块、包块等肿块 。这些症状都是医学临床总结的经验,当然也会有一些特殊的例子,所以,还是不要盲目的对号入座、乱下结论 。如果觉得自己的身体哪里不舒服,建议还是到医院进行正规的检查和咨询 。
从事普外科工作26年,擅长甲状腺,乳腺疾病,肝胆外科,胃肠肿瘤等普外科疾病诊治 。
觉得本文有用,欢迎点赞或推荐给朋友,并关注【医联媒体】 。
肝囊肿并不少见,大约5%甚至更高的比例的人群会筛查出肝囊肿,那么肝囊肿都会有哪些症状呢?
一、无症状
主要是因为肝囊肿大多数没有症状,所以才大多数不易被发现,很多都是在体检或者治疗其他疾病时被发现,比如笔者我,就是在无意中发现自己有肝囊肿!

文章插图
二、腹胀不适
当肝囊肿继续增大或者压迫到某些部位有症状时,可能会出现腹胀不适,甚至有时候和体位有关,比如蹲下时加重等!

文章插图
三、腹痛
腹痛多为隐痛,当然合并囊肿破裂出血的时候疼痛也可剧烈,多需要急诊处理!
三、腹部包块
因为囊肿患者无症状,但当囊肿持续增大的时候,患者可以关注到自己腹部包块,甚至有时候可以自行触摸到,需要到医院进行检查决定如何处理 。
- 人生感悟的句子
- 常见的风水招财摆件都有哪些 家里风水轮能摆在卧室吗
- 肝俞的准确位置图片 图解 肝俞的准确位置图
- 日英法美等国都有汉学家,怎么感觉中国没有英学家,日学家,俄学家的说法?
- 验乙肝五项用空腹吗
- 乙肝病毒性肝炎会死吗
- 乙肝病毒表面抗体高是怎么回事
- 乙肝表面抗体是什么意思
- 乙肝表面抗原高怎么回事
- 乙肝疫苗打一针可以吗
特别声明:本站内容均来自网友提供或互联网,仅供参考,请勿用于商业和其他非法用途。如果侵犯了您的权益请与我们联系,我们将在24小时内删除。
