图 4. 非霍奇金淋巴瘤主要类别及发病率
注:A:各类 B 细胞或 T 细胞淋巴瘤在 NHL 中的占比;B:各类 NHL 或 HL 在恶性淋巴瘤中的占比 。
B 细胞淋巴瘤主要类型:

文章插图

文章插图
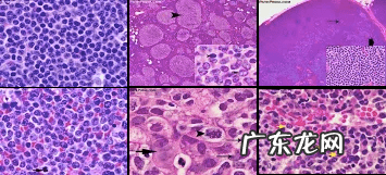
图 5 主要 B 细胞淋巴瘤病理特征(HE 染色)
注:自左向右分别为:CLL、FL、MZL、MCL、DLBCL、LPL/WM(www.pathpedia.com) 。
成熟 T/NK 细胞淋巴瘤相对少见,且高度异质,具有鲜明的地域和种族特征,以外周 T 细胞淋巴瘤(peripheral T cell lymphoma, PTCL)为例,其在欧美约占 NHL 发病率的 10%-15%,而在东方人中则占约 20%-30% 。

文章插图
图 6 主要 B 细胞淋巴瘤病理特征(HE 染色)
注:自左向右分别为:CLL、FL、MZL、MCL、DLBCL、LPL/WM(www.pathpedia.com) 。
NK/T 细胞淋巴瘤主要类型如下:

文章插图

文章插图
图 7. 主要 T 细胞淋巴瘤病理特征(HE 染色)
注:自左向右分别为:PTCL、MF/SS(American Society of Hematology) 。
小结
淋巴瘤是一种高异质性疾病,随着临床基因检测和影像学检查水平的不断发展,对淋巴细胞肿瘤的免疫学分型和功能有了比较深入的了解,对相关基因在淋巴瘤发生发展中的作用也正在阐明 。
在临床上,由于改进的新分类、分型、分期,以及治疗原则的不断更新,包括靶向治疗药物在内的新药不断增多,特别是综合治疗经验的不断积累,使得淋巴瘤的治疗日趋合理,无论近期疗效和远期生存都有了相当大的改善 。
- 海狗油对身体有什么好处 海狗油的功效与作用用途
- 大家坐火车有什么难忘的经历?
- 能实现文件夹的加密吗,有几种加密方法 能实现文件夹的加密吗?你知道有哪几种方法可以加密?
- 当一个人被身边的所有都孤立,这个人是不是人品有问题?
- 关键词常见挖掘方法 关键词挖掘工具有哪些
- 买牌子正品去哪个网站 化妆品正品网站有哪些
- 微信群 @所有人怎么弄 微信群发所有人怎么发送
- 平板选择 哪些平板值得入手
- 2023年冬天会有暴雪天气吗为什么 今年冬天会下大雪吗2019-2020
- 体重106,怎样快速瘦到90斤。有可靠的食谱吗?
特别声明:本站内容均来自网友提供或互联网,仅供参考,请勿用于商业和其他非法用途。如果侵犯了您的权益请与我们联系,我们将在24小时内删除。
