我们常听说老年痴呆症,但是痴呆症,你有好好研究过吗?
痴呆症是一种因脑部伤害或疾病所导致的渐进性认知功能退化,且此退化的速度远高常老化 。特征是多种大脑高级皮层功能紊乱,涉及记忆、思维、定向、理解、计算、判断、言语和学习能力等多方面,导致意识不清楚,情感自控能力差、社交或动机的衰退,常与认知损害相伴随,但有时可早于认知损害出现 。特别是会影响到记忆力、注意力、语言能力和解题能力 。严重时甚至无法分辨人、事、时、地、物 。

文章插图
老年痴呆症 (即阿尔茨海默病)是最常见的痴呆症种类,是?其典型起始症状为记忆障碍 。病人会遗忘刚刚发生的事 (短期记忆差),而较长时间以前的记忆 (长期记忆) 则在发病初期相对不受影响 。
痴呆症是个不特定的概括名词,也称失智症 。失智症可分为可逆或不可逆,视疾病成因而异 。只有不到10%的痴呆症是可逆的 。
由于大部分的痴呆症患者可能会有精神错乱症状 。尽管混乱症状可能可以由密切照顾、改进居住环境与饮食获得缓解;精神科药物也能协助稳定情绪、减少幻觉妄想、或者冲动控制 。但目前药物尚未能减缓脑部的退化 。痴呆症患者也常伴随忧郁症,最好由专业医疗人员诊断治疗 。
年龄是痴呆症最主要的危险因子 。根据流行病学研究,65岁以上的人有5% 有失智症,85岁以上则增加到20% 。
痴呆症属常见疾病,早期诊断很重要
现在痴呆症已经成为一种常见疾病,从全世界来看,阿尔茨海默病患者约有4000万以上,其中正在接受治疗的在1000万以下,比糖尿病人数还要多很多 。而且,是一种谁都有可能会得的疾病 。
然而,现在的问题是痴呆症患者半数以上的人都没有去医院接受诊断 。不接受诊断,也就无法治疗和护理 。其中有些人认为痴呆症无法治愈,即使去医院也没有用 。
【痴呆是什么意思 痴呆量表】然而,实际上痴呆症中也有可以治愈的 。“痴呆症”这个词并不是表示某种特定疾病,细分的话它包含了约100种疾病 。其中,代表性的有阿尔茨海默病、路易体痴呆、额颞叶痴呆以及血管性痴呆4种 。此外还有很多严格来说不算痴呆症,但是与痴呆症很难区分的疾病 。在医院经过仔细鉴别诊断可以弄清楚的疾病约占痴呆症整体的1成左右,这些经过适当的治疗可以治愈 。

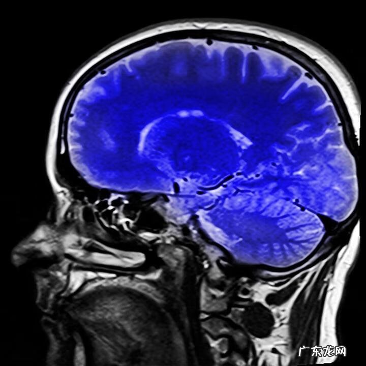
文章插图
磁共振头部成像
目前,在医院有HDR-R(长谷川痴呆修订量表)、磁共振成像装置(MRI)及单光子发射计算机断层扫描(S-PECT)设备影像诊断来对痴呆症进行鉴别 。
占痴呆症7成的阿尔茨海默病是由于β淀粉样蛋白、磷酸化tau蛋白等物质在大脑内蓄积,使大脑萎缩引起 。利用正电子发射断层成像装置(PET)可以检测出这些病因物质 。
这些基于成像技术进行的早期诊断的好处,第1是可以将阿尔茨海默病以外原因导致的痴呆症鉴别出来,这样有利于选择合适的治疗方案 。第2是可以确定异常蛋白是否在脑内某个特定部位蓄积,因为大脑不同部位功能不同,如果可以确定在某个特定部位的话可以知道病人会有什么症状,提供更好的治疗 。
可以早期诊断的话,也就意味着早期治疗成为可能 。现在,对阿尔茨海默病的核心症状有效的治疗药物有4种,进一步从根本上治疗阿尔茨海默病药物也在开发中 。
早期诊断后,不只是早期治疗,对患者的早期应对也很重要周围人对阿尔茨海默病患者的接触方式,也会影响疾病发展的快慢 。不知道患者患病的情况下,周围人可能会有发怒这样的情况 。而如果知道是疾病的话,可能就会站在病人的角度采取温和的态度 。周围的人向患者表现出不放弃他的态度,能够使患者本人怀着希望,更有信心保持自我 。
- biu的否表情包 biu特否英文是什么
- 蓝海词怎么找 蓝海查词什么意思
- 电视anerroroccurred什么意思 anerroroccurred怎么办
- 海南社保卡开户行是什么 社保卡具体开户行怎么查询
- 芷字怎么读 芷字的意思是什么 芷字意思是什么
- 招引的近义词三年级 招呼的近义词是什么
- 互惠互利的例子 互惠互利是什么意思
- 青龙砂是什么意思 风水青龙砂
- 一件代发卖什么产品好?优点是什么?
- 银手镯变黑变黄是什么原因 银镯子变黄了是什么原因
特别声明:本站内容均来自网友提供或互联网,仅供参考,请勿用于商业和其他非法用途。如果侵犯了您的权益请与我们联系,我们将在24小时内删除。
