胸部X线检查是急诊鉴别诊断胸痛时最常用的检查,有助于Boerhaave综合征的诊断,约有80%~90%的患者可以出现异常改变 。但是,在食管破裂前6个小时,仍有10%~33%的患者胸片检查显示阴性 。CT 检查对胸段食管破裂的诊断、治疗选择有重要意义 。食管破裂的CT影像学表现为颈部皮下气肿,纵隔内积液积气,胸腔积液,液气胸,有时可见到纵隔内气体与食管内气泡相连,部分病例可直接显示食管连续性中断及破裂口 。
食管造影是确诊胸段食管破裂的检查之一,也是有怀疑时的首选筛查方法 。内镜检查在食管破裂诊断中的作用是有限的和有争议的,但它具有高敏感性和特异性(分别为100%和 85%) 。但一般内镜检查不作为初始诊断工具,但可用于高度怀疑损伤,而CT扫描和食道造影呈阴性,或者有GERD或消化性溃疡病史者 。
【胸前疼痛是怎么回事 运动后胸部痛怎么回事】此病治疗方法包括保守治疗,内镜治疗和手术治疗 。治疗方案的选择取决于瘘口大小、污染的严重程度等,总病死率接近20%,算是临床相对少见且早期较难诊断却很危急的重大疾病 。
病例二:饮酒后呕吐、胸痛
再来看一个病例 。患者男性,55岁,因胸痛放射到腹部3小时到急诊室就诊 。患者既往健康,有酗酒史 。仔细询问病史,患者在就诊前两天一直在饮酒,曾出现轻微胸部不适及呕吐 。入院时,患者生命体征平稳,12导联心电图显示ST段改变,肌钙蛋白、全血细胞计数和生化检查正常 。超声心动图显示无局部室壁运动异常,LVEF正常,少了心包积液极少 。患者接受了抑酸、止吐、止痛等对症治疗,但疼痛持续 。
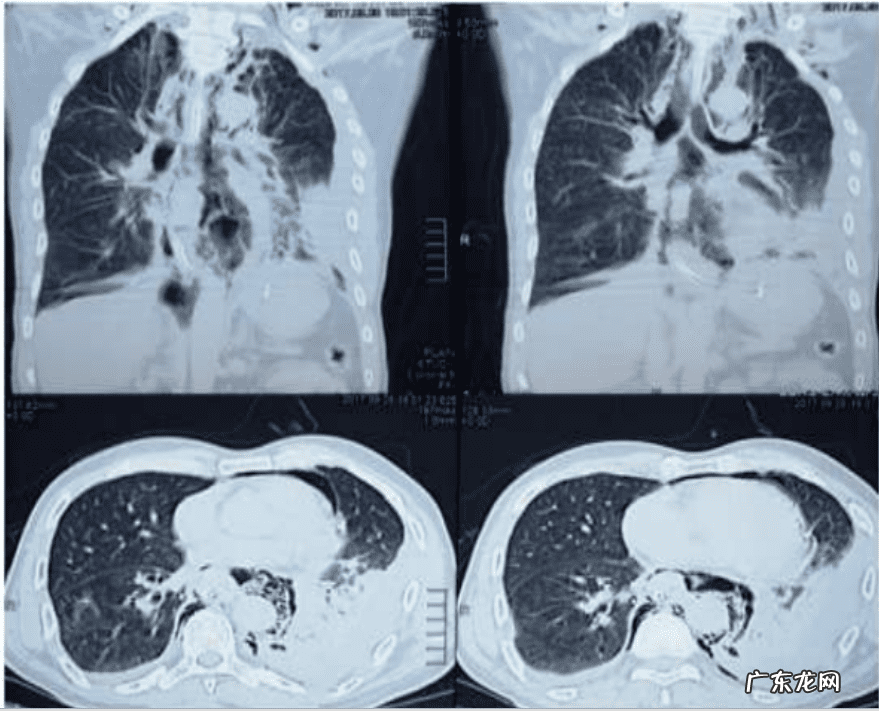
入院30分钟后,患者外周血氧开始下降,查体发现胸壁和颈部有皮下气肿 。胸部CT发现纵隔气肿以及颈部和左外侧胸部皮下气肿(图3),上消化道内窥镜检查显示出食管穿孔(图4) 。该患者经内镜支架置入治疗,后在重症监护病房在无创通气支持治疗2天,患者最终恢复良好,康复出院 。

文章插图
图3 急诊胸部CT影像

文章插图
图4 胃镜检查图像
冠状动脉疾病是急诊胸痛的主要死亡原因,急诊医师的鉴别诊断中最重要的考虑因素是快速识别急性心肌梗塞,患者往往会被按照“心脏病”来处理 。实际上,胸痛患者除了需要鉴别急性冠状动脉综合征(ACS)以外,还需要与主动脉夹层,肺栓塞,气胸,心包炎或食管破裂等急性非创伤性胸痛进行鉴别,诊断胸痛可以说是急诊医学中最困难的挑战之一 。
Boerhaave综合征是一种罕见的疾病,罕见到什么程度,可能有的急诊科医生整个执业生涯也不会遇到一例 。老刘有幸在毕业第一年见习医师的时候就主管了这样一个患者,因为胸痛就诊被急诊直接绿道收入心内科住院治疗 。患者年青男性,虽然胸痛、胸闷症状明显,但心电图改变不典型,也没有动态演变,心肌酶类有轻微升高,血常规升高,看着患者不太像ACS 。胸片发现双侧液气胸,胸腔引流时,引流出了菜叶……最终,患者家属因为医疗费用放弃了治疗,患者带着引流瓶被家属运回老家 。从那以后,很长时间全科医护都基本杜绝了饱食、喝酒 。
活着不易,好好珍惜……
参考文献
[1]Pasternak A, Ellero J, Maxwell S, Cheung V. Boerhaave\'s syndrome in an ultra-distance runner. BMJ Case Rep. 2019,12(8):e230343.
[2]Aman Sharma,Ankit Chandel,Atanu Bhattacharya,Rajib Lochan BhanjaMISDIAGNOSIS OF CHEST PAIN: SPONTANEOUS ESOPHAGEAL RUPTURE-A CASE REPORT. Indian Journal of Medical Case Reports. 2019,8 (2):2319–3832(Online) .
- 嘴巴周围长痘痘是因为什么 嘴巴周围长痘痘是哪里的问题
- 精子着床过程 受精过程是怎样的?
- 鲶鱼和黑鱼是一种鱼吗 鲶鱼和黑鱼一样吗
- 抖音上的延长收货是什么意思 抖音延长收货有什么用
- 罗汉跳缸是什么原因 罗汉鱼会不会跳缸
- 为什么藕粉冲出来是白的
- 宝马3系是b级车么 宝马3系属于B级车吗
- 养猫会不会影响睡眠 养猫会影响睡眠吗
- 宝宝走路晚是什么原因分析 为什么宝宝走路晚
- 巴西龟冬眠放水还是放沙
特别声明:本站内容均来自网友提供或互联网,仅供参考,请勿用于商业和其他非法用途。如果侵犯了您的权益请与我们联系,我们将在24小时内删除。
