
文章插图
胸痛是急诊常见的主诉,在诊断的过程中识别高危胸痛至关重要 。心原性胸痛是临床最常考虑的病因,其中ACS高居高危胸痛病因榜首,但实际工作中总能碰到特殊的病例,鉴别诊断必不可少 。
作者:刘严 清华大学玉泉医院
病例一:运动后呕吐、胸腹痛
患者男性,37岁,在参加马拉松比赛后自觉呼吸困难、右侧剧烈胸痛、右上腹痛,患者返回医疗点请求帮助 。当时,患者生命体征平稳,外周血氧饱和度95%,在服用一颗非甾体类抗炎药后,患者立即感觉恶心,并呕吐 。服药后,患者感觉左侧胸痛严重,并伴有呼吸困难 。救护车到场,怀疑患者为ACS,患者被送入急诊室,入院时患者呼吸22次/分,心率77次/分,外周血氧饱和度93% 。
心电图未见明显异常,血白细胞升高17.8*10^9/L,肌酐和尿素氮显著升高,肌酸磷酸激酶升高至5349 U / L,BNP轻度升高至614 pg / dl,肌钙蛋白I略微升高至0.09 ng / ml,d-二聚体升高至598 ng/ml 。
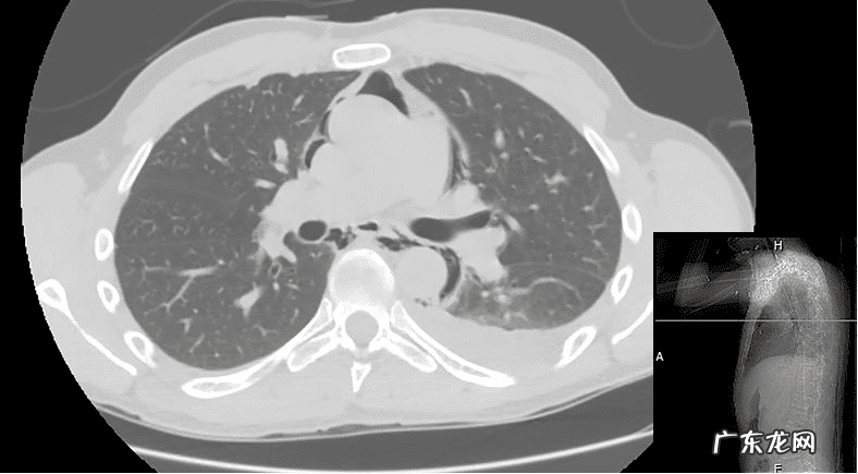
胸片检查发现左下肺有大片浸润影,纵膈气肿,没有明显的胸腔积液和气胸的迹象 。由于患者肾功能异常不能进行增强CT扫描,仅进行胸部CT平扫检查,结果提示,纵膈气肿累及双侧上胸腔和颈部,左肺下叶浸润及胸腔积液(图1) 。

文章插图
图1 急诊胸部平扫影像

文章插图
图2 食管造影影像显示造影剂外漏
患者被收入院住院治疗,完善检查鉴别急性心肌梗死、肋骨骨折、气胸、肺栓塞、主动脉瘤破裂、肠穿孔、膈肌破裂等疾病 。住院后复查D-二聚体恢复正常,在急诊就诊12小时后,患者接受了食管造影,结果显示左侧食管穿孔(图2) 。
患者被诊断为Boerhaave综合征,接受了开胸手术,对食管远端穿孔进行了修补及纵膈清创,胃空肠造瘘 。术后4天,医生拔除了胸腔引流管,但6天后患者胸腔积液增多,被迫再次行胸腔引流,复查食管造影发现食管持续性渗漏 。医生选择保守治疗,抗炎、营养支持治疗,经过一个多月的住院治疗,患者病情好转出院 。出院后一个月复查胃镜,显示食管穿孔完全愈合 。三个月后,患者恢复了正常饮食 。
自发性食管破裂:Boerhaave综合征
当食管内压力突然增加,可以引起自发性食管穿孔或破裂,称为自发性食管破裂 。当全层食管破裂时,称为Boerhaave综合征 。发生Boerhaave综合征的患者通常食管是正常的,只有少数患者患有嗜酸细胞性食管炎,药物性食管炎,Barrett溃疡或感染性溃疡等基础疾病 。
Boerhaave综合征是临近胃食管连接处的食管左后侧壁的纵行撕裂,多为暴饮暴食后剧烈呕吐,导致食管腔内压力骤然升高时食管上括约肌失弛缓 。
食管破裂多发生在食管下段,是因为食管两层肌肉之间缺少筋膜层,食管的颈段后壁黏膜被覆一 层很薄的纤维膜,中段仅被右侧胸膜覆盖,下段被左侧胸膜覆盖,相对游离,周围没有软组织支持,使得食管在压力突然增大时容易破裂;并且食管上、中段毗邻气管、主动脉、脊柱,纵隔胸膜多次反折使食管相对固定,而食管下段毗邻器官较少,食管下段本身为浅表性溃疡和反流性食管炎等疾病的高发部位 。
典型的自发性食管破裂主要症状是突发胸骨后或上腹部的撕裂样疼痛,可以辐射到肩背部、或左手臂,体位改变或吞咽时加重 。疼痛在呕吐之前没有出现,但在呕吐后立即发生,因此对于呕吐后发生的胸痛应该怀疑此病 。长时间奔跑长会引发呕吐,并会出现胸痛、胸闷、呼吸困难、腹痛等症状,因此可能会在早期被误判 。并且并不需要饱食,干呕也会引发食管破裂 。Mackler三联征被认为是食管破裂的特征性表现,包括呕吐,胸痛和皮下气肿,但实际上很少患者会同时表现出这些典型特征 。而更多的患者会表述其他症状,如胸闷、呼吸困难、声音改变、吞咽困难等 。有液气胸者,可在查体时发现一侧或双侧呼吸音减低,气管可偏移 。
- 嘴巴周围长痘痘是因为什么 嘴巴周围长痘痘是哪里的问题
- 精子着床过程 受精过程是怎样的?
- 鲶鱼和黑鱼是一种鱼吗 鲶鱼和黑鱼一样吗
- 抖音上的延长收货是什么意思 抖音延长收货有什么用
- 罗汉跳缸是什么原因 罗汉鱼会不会跳缸
- 为什么藕粉冲出来是白的
- 宝马3系是b级车么 宝马3系属于B级车吗
- 养猫会不会影响睡眠 养猫会影响睡眠吗
- 宝宝走路晚是什么原因分析 为什么宝宝走路晚
- 巴西龟冬眠放水还是放沙
特别声明:本站内容均来自网友提供或互联网,仅供参考,请勿用于商业和其他非法用途。如果侵犯了您的权益请与我们联系,我们将在24小时内删除。
