文章图片
三、CiPVT1可能作为miR-24-3p的海绵发挥作用
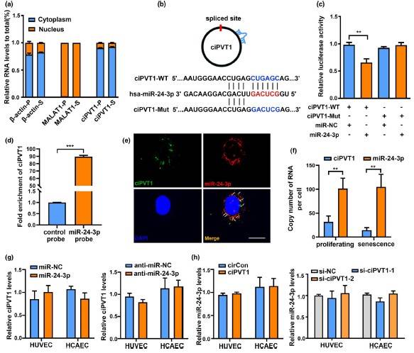
越来越多的证据表明 , 环状RNA可能根据其亚细胞定位发挥不同的作用 。 为了确定ciPVT1的细胞定位 , 对核和胞质ciPVT1RNA进行RT-qPCR分析 。 结果显示 , 在增殖和衰老的内皮细胞中 , ciPVT1均优先定位于细胞质内 , 提示其转录后调控潜力 。 鉴于ciPVT1主要位于细胞质中 , 因此接下来研究了ciPVT1是否能与miRNAs结合 , 作为miRNA海绵 。 通过circRIP实验 , 发现miR-24-3p在circRIP实验中富集程度最高 。 使用RNAhybrid软件在ciPVT1序列中发现了miR-24-3p的潜在结合位点 , 通过双荧光素酶报告实验验证了此预测 。 然后 , 作者进一步用miRNA pull down实验证实了两者的结合;且RNA FISH检测显示 , ciPVT1和miR-24-3p共定位于细胞质中 。 综上所述 , ciPVT1作为miR-24-3p的海绵 。
文章图片
四、miR-24-3p促进细胞衰老、抑制细胞增殖和毛细血管网络形成能力
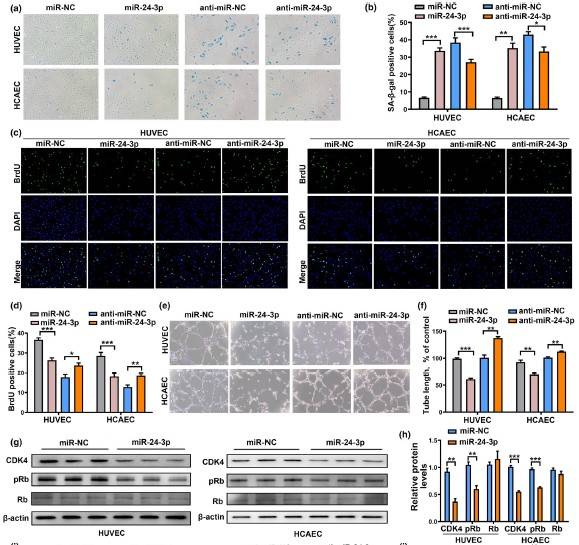
有报道称 , miR-24在衰老的HDFs和HUVECs中上调 , 表明其在细胞衰老中的作用 。 作者研究了miR-24-3p在内皮细胞衰老中的作用 。 发现过表达miR-24-3p可增加SA-β-gal阳性细胞数量 , 抑制细胞增殖 , 损害内皮细胞血管形成能力 。 而敲低miR-24-3p后 , 衰老内皮细胞中显示相反的表型 。 这些结果证实了miR-24-3p在内皮细胞衰老中的关键作用 。 先前的研究已经证实CDK4是miR-24-3p的直接靶点 。 D型细胞周期蛋白/CDK4复合物能磷酸化并灭活视网膜母细胞瘤蛋白(Rb) , Rb对建立衰老细胞周期阻滞至关重要 。 Western blot检测表明 , 过表达miR-24-3p可降低CDK4和磷酸化Rb (pRb)蛋白水平 。 这些结果表明 , miR-24-3p可诱导衰老、抑制细胞增殖 , 并通过CDK4/pRb通路削弱内皮细胞的血管形成能力 。
文章图片
五、过表达ciPVT1可逆转miR-24-3p诱导的内皮细胞衰老
【一区,IF=9.3|云序客户Aging Cell揭示circRNA调控内皮细胞衰老的分子机制】接下来 , 作者还探究了ciPVT1是否通过与miR-24-3p相互作用 , 延缓衰老、促进细胞增殖并增加血管生成活性 。 SA-β- gal染色显示 , miR-24-3p可促进内皮细胞衰老 , 过表达ciPVT1可减轻这种作用 。 miR-24-3p可削弱内皮细胞的血管形成能力 , 抑制细胞增殖 。 同样 , 过表达ciPVT1可以挽救miR-24-3p过表达引起的这些表型 。 综上所述 , 这些数据表明ciPVT1通过海绵机制吸附miR-24-3p进而延缓内皮细胞衰老 。
文章图片
六、ciPVT1通过调控miR-24-3p/CDK4/pRb轴延缓内皮细胞衰老
由于miR-24-3p通过靶向CDK4促进内皮细胞衰老 , 因此假设ciPVT1通过与miR-24-3p结合 , 增加CDK4/pRb的水平 , 从而延缓内皮细胞的衰老 。 为了验证此猜想 , 检测了过表达或沉默ciPVT1后CDK4/pRb的表达 。 结果显示 , 过表达ciPVT1时CDK4/pRb上调 , 敲低ciPVT1时CDK4/pRb下调 。 接下来 , 作者还验证了ciPVT1是否主要通过保护CDK4不被miR-24-3p下调来延缓内皮细胞的衰老 。 与预期一致 , miR-24-3p可以显著抑制CDK4的表达 , 过表达ciPVT1后抑制被延缓 。 表明ciPVT1通过ceRNA机制作为miR-24-3p海绵调节CDK4。 与ciPVT1的表达一致 , 老年人动脉中CDK4和pRb的表达水平也下调 。 这些结果证实了体内ciPVT1和CDK4/pRb的表达水平之间存在着相互关联 。 综上所述 , ciPVT1至少部分通过miR-24-3p/CDK4/pRb通路延缓衰老、诱导增殖以及增加内皮细胞的血管生成活性 。
特别声明:本站内容均来自网友提供或互联网,仅供参考,请勿用于商业和其他非法用途。如果侵犯了您的权益请与我们联系,我们将在24小时内删除。
