
文章插图
小泰迪
一、患犬基本资料
标准贵宾犬 , 两岁 , 雌虫 。一切正常免疫系统除虫 。
二、就医缘故
呼吸不畅 , 健身运动不耐受 , 舌色紫绀 。
三、病历
三个月前主人家发觉该犬出現总想睡觉 , 精神实质下降 , 食欲不振和慢慢削瘦病症 。两月前出現呼吸不畅 , 没法静卧 , 一个月前患犬病症加剧 , 运动后舌色紫绀 , 比较严重削瘦 。
四、全身体格检查
患犬比较严重削瘦 , 体况得分2/9 , 腹式呼吸法 , 呼吸不畅 , 舌色紫绀 。胎儿腹围扩大 , 颈静脉扩大 。听诊器心音低沉 , 心跳163 bpm , 规律混乱 , 奔马律 , 收缩期返流性杂声 , 杂声最強听诊器点(PMI)为左心房 , 肺部湿罗音 。股动脉脉率孱弱迅速 。触诊腹腔肝部扩大 。
五、诊断
扩张型肥厚性心肌病、心包积液、心脏瓣膜病症
六、确诊方案
胸骨X线检查、腹腔超音波查验及心血管多普勒彩超查验、心电图、心率、CBC、血清蛋白生物化学和电解质检查 。
1.影像诊断查验

文章插图
胸骨X线检查

文章插图
胸骨X线检查
胸骨X线检查:胸骨内影像总体相对密度上升 , 心血管轮廊没法辨别 , 提醒很有可能存有胸腔积水;支气管上抬 , 与腰椎平行面 , 提醒心血管很有可能存有显著扩大;肺泡动静脉增大增粗 , 提醒血肿 , 气体支气管炎征提醒支气管型外渗 。综合性之上信息内容猜疑心力衰竭造成胸腔积水和急性肺水肿 , 可根据超声心动查验确定心肺功能及变病种类 。

文章插图
腹腔彩超检查

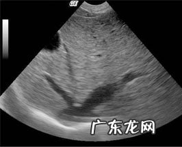
文章插图
腹腔彩超检查
腹腔彩超检查:腹腔彩超检查发觉肝部扩大 , 肝本质回音匀称 , 内未见异常回音疾病 , 肝毛细血管增大增粗 , 这种转变是因为心力衰竭造成回心力量降低 , 肝部血肿而致 。腹部内丰富性无回音影象 , 提醒存有很多腹腔积水 。

文章插图
超声心动查验

文章插图
超声心动查验
超声心动查验:全部心腔均比较严重扩大 , 收缩期左心房內径LVDS 57.毫米(14.9~25.毫米) , 显著扩大 , 及其减少成绩FS=25%(33~46%)和射血分数EF减少 , EPSS扩大 , 提醒心房收拢作用较弱 。室中隔和左心房分散壁薄厚减少 。左心房LA/AO=3.64 , 提醒左心比较严重扩大 , 心力衰竭产生 。多谱勒精确测量二尖瓣返流 , 则继发性于心房比较严重扩大后 。
特别声明:本站内容均来自网友提供或互联网,仅供参考,请勿用于商业和其他非法用途。如果侵犯了您的权益请与我们联系,我们将在24小时内删除。
