这年头 , 谁去体个检 , 都基本上能查出个结节来!

文章插图
有人可能会说陈医生有点夸大其词 , 我给大家罗列几个大家常见的结节的发病率 , 大家就不会这样认为了!

文章插图
diyi个 , 像我们的甲状腺结节 。40岁的人去查一个B超 , 10个里面大概有4个有甲状腺结节 , 发生率能达到40%以上 , 非常高;

文章插图
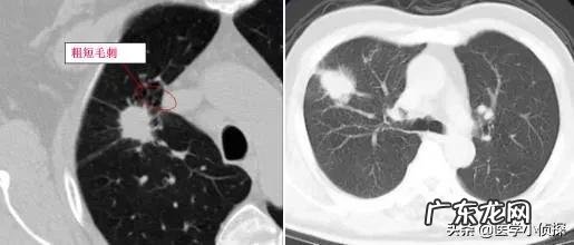
第二个 , 也是大家特别熟悉的肺结节 。体检查出肺部小结节的比例高达20-30% , 而对于吸烟人群 , 这种检出率更高 , 接近50% , 而我们国家有3亿以上的烟民;

文章插图
第三个 , 女性比较常见的乳腺结节 。有研究显示 , 在2%—4%的女性当中 , 都有临床上可触诊不清的乳腺肿物 , 虽然这些乳腺结节样变大部分为生理性改变 , 但仍有20%~30%为乳腺癌 。

文章插图
除此之外 , 还有我们的肝脏结节、淋巴结节等 。所以 , 结节这东西 , 很多人这一生 , 都可以跟它要打交道 , 不是有这个结节 , 就可以长那个结节 , 甚至同时存在两种以上的结节 。那么这些结节能不能消除?消除身体结节最好的方法是什么?我今天就跟大家一起来交流下这个话题 。

文章插图

文章插图
先讲一下大家最为熟悉的肺结节 。首先 , 大家要记住 , 一般我们说的肺结节 , 指的都是≤3cm以下的结节 , 对于超过3cm的结节 , 我们就不再叫它结节了 , 而是称之为肿块 。

文章插图
而且拍片发现肺结节 , 本身不能说我们得了什么病 , 因为肺结节只是我们影像学上的一种表现 , 并不代表这个结节具体会是个什么东西 。只是对于我们正常人来说 , 不应该有结节 , 因此结节的出现肯定代表我们的肺部有病变 , 但具体它是什么 , 是良性的 , 还是恶性的 , 需要进一步的来区分 。只不过 , 一般情况下 , 在影像下我们统称这些都叫肺结节 。

文章插图
而同样 , 我们既不知道它是个什么东西 , 也不知道它是怎么来的 , 有一部分人可能跟我们的肺部炎症有关;而有一部分可能与肺结核有关 , 但具体一个人为什么会长肺结节 , 目前并没有研究清楚 , 这就导致了很多在看到自己体检报告肺部有结节时候会有点恐慌!

文章插图
事实上 , 大可不必!

文章插图
假如你胸部CT检查出肺结节 , 重点关注报告单上这些内容 , 基本上不用过于担心肺结节最后会发展为晚期肺癌!
- 每天喝菊花茶,对身体有没有危害?该注意些什么?
- 减肥用代餐产品效果好吗?会对身体不好吗?
- 跳舞会是人们锻炼身体的比较好方式吗?
- 拔罐减肥的印记多久可以消除
- 你试过用生酮饮食减肥么?效果如何?身体有什么反应么?
- 猫的生活环境和身体特征还有功能或特征?
- 身体差怎么补?杂粮、豆类和汤臣倍健蛋白粉
- 抗糖口服液对身体有害吗 抗糖口服液有副作用吗
- 衣服洗完有馊味怎么办? 衣服酸臭味怎么消除
- 打火罐,刮痧对身体好吗?有一些什么功效
特别声明:本站内容均来自网友提供或互联网,仅供参考,请勿用于商业和其他非法用途。如果侵犯了您的权益请与我们联系,我们将在24小时内删除。
