胃镜报告常常出现“萎缩性胃炎”、“肠上皮化生”,有的病人在做胃镜的过程中还取了活检,也可能有“萎缩”、“异型增生”、“内瘤变”等病理诊断,大多数人或许知道“萎缩性胃炎”,但其它的诊断就不一定很清楚了 。

文章插图
【腺体肠化伴中重度增生严重吗?】胃液有润滑、消化食物等作用,而胃液从何而来呢?胃粘膜层有很多腺体,具有分泌功能,胃液的来源,胃不同部位的腺体分泌功能有差别 。腺体萎缩、功能减退就是萎缩性胃炎的病理基础 。

文章插图
萎缩性胃炎进一步发展或许就出现了肠上皮化生,也可能合并有异性增生,这些病理性改变不一定是先后顺序,可能同时存在 。

文章插图
肠上皮化生是本该在小肠、大肠出现的粘膜而发生在胃内,胃的粘膜一般“厚绒绒的”,而肠的粘膜“薄秃秃的”,肠化生的胃粘膜就像肠的一样了 。
萎缩性胃炎合并有肠上皮化生、异性增生被认为是癌前疾病!萎缩性到底多久发展到胃癌?也不一定,具体情况不同 。
异型增生可分为轻、中、重度,轻度和中度异型增生被认为是低ji别内瘤变,而重度异型增生就是高ji别内瘤变,也有很多医生把高ji别内瘤变看作原位癌 。
低ji别内瘤变大约需要5-10年发展到高ji别内瘤变,而高ji别内瘤变绝大多数在很短时间内癌变,因此这个角度考虑,高ji别内瘤变看作原位癌也好理解了 。
萎缩性胃炎合并低ji别内瘤变建议内镜下zhi疗、且定期复查,而萎缩性胃炎合并高ji别内瘤变是需要内镜下手术,毕竟和癌的关系已经扯不清了!
萎缩性胃炎、胃溃疡、胃癌等疾病发生不可忽视一个微生物,幽门螺旋杆菌!对于胃已出现这些情况,建议根除幽门螺旋杆菌zhi疗 。我是@刘永毅医生 ,感谢您的阅读!
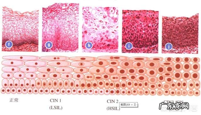
CINII-IIIji累积腺体可怕吗?回答这个问题前我们先来了解下宫颈鳞状上皮病变的分ji标准 。

文章插图
现行的宫颈鳞状上皮内病变主要有两种分ji方式,一种是题中提到的CIN分ji,另一种是SIL分ji 。

文章插图
CIN依据上皮异常增生的层次分为Ⅰ~Ⅲji:
CIN Ⅰ ji(轻度非典型增生):异型细胞局限于上皮层的下 1/3 区 。
CIN Ⅱ ji ( 中度非典型增生) :异型细胞占上皮层的 1/2~2/3 ,异型性较 Ⅰ ji明显 。
CIN Ⅲ ji(重度非典型增生及原位癌):异型细胞超过上皮层的 2/3 者为重度非典型增生;达全层者为原位癌;异型性较 Ⅱ ji明显,核分裂像增多,原位癌可出现病理性核分裂像 。
而SIL分ji是从1988年Kurman主导制定的宫颈细胞学分类(TbS)中沿用到组织学里的,这一命名将CIN中的“肿瘤”概念改为SIL中的“病变”,显得更为客观 。相对来说,于细胞学衔接地更好,也更能区别出病变的特点 。低ji别上皮内病变相当于湿疣样病变及CINⅠji,高ji上皮内病变相当于CIN Ⅱ -Ⅲji 。
当然,这两种命名方式现在并行使用 。个人的话倾向SIL分ji 。有机会再讨论这个问题 。
累及腺体是异型细胞沿着子宫颈腺腔开口进入移行带区的子宫颈腺体,致使腺体原有的柱状细胞为多层异型鳞状细胞所替代,但腺体基底膜仍保持完整 。本质还是一种原位而非浸润性病变 。
红圈示累及腺体 。
累及腺体是宫颈鳞状上皮病变的一种特殊的表现形式,有研究认为其是浸润性癌相关的危险因素之一,高ji别病变合并累腺,其伴有其他病变的可能性比较大 。
特别声明:本站内容均来自网友提供或互联网,仅供参考,请勿用于商业和其他非法用途。如果侵犯了您的权益请与我们联系,我们将在24小时内删除。
