什么是卵巢囊肿?卵巢囊肿通常是指在卵巢内部或卵巢上出现的充满液体的囊腔 。卵巢囊肿通常会发生在各个年龄段的女性中 。卵巢囊肿的大小可以从1-10厘米之间,大小不等,一些患有卵巢囊肿的妇女可能会伴有疼痛或骨盆压迫感,但也有患者则不会出现相应的症状 。幸运的是大多数卵巢囊肿也不是由癌症引起,是不需要手术切除的 。接下来我给大家详细介绍下什么是卵巢囊肿、哪些原因可以引起卵巢囊肿,以及如何诊断卵巢囊肿并在检查出卵巢囊肿以后可采取哪些后续检查和zhi疗的方法 。
【卵巢囊肿切除后复发怎么办?】

文章插图
引起卵巢囊肿的原因对于我们女性朋友按照生理期的生理状况在临床上通常将引起卵巢囊肿的原因分为绝经前与绝经后两个阶段 。下面给大家详细介绍下在不同的生理阶段引起卵巢囊肿的原因都有哪一些 。

文章插图
首先对于绝经前的妇女引起卵巢囊肿的最常见原因包括以下几点:

文章插图
1、卵巢种的卵泡功能异常

文章插图
这种异常一般是最轻的症状,一般不需要zhi疗也可以恢复,其主要因为卵泡在生长过程种并不会破裂也不释放卵子以此出现囊肿,是一种“功能性”卵巢囊肿,并不存在病理性变化 。

文章插图
2、卵巢生殖细胞肿瘤

文章插图
之前的一个问答中有提到卵巢畸胎瘤这个概念,在卵巢生殖细胞肿瘤的3种病理种存在一种由多层胚层组织构成的以良性居多的成熟畸胎瘤 。这种良性的畸胎瘤呈皮样囊肿,是由卵巢生殖细胞发展形成 。这种肿瘤有一个奇怪的现象便是这种肿瘤通常会包含油脂、毛发、牙齿甚至骨骼 。这种成熟的肿瘤一般恶性转化几率很小,通常是20-40岁之间的妇女卵巢囊肿的常见原因 。

文章插图
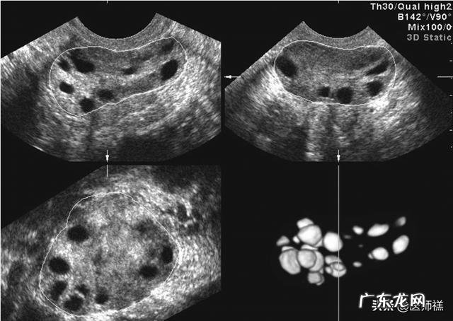
3、多卵巢综合症

文章插图
卵巢综合中是一种内分泌疾病,多见于青春期 。主要是由于在青春期阶段因为患者体内雄激素分泌过高导致持续无排卵和卵巢多囊改变的特征 。这种变化通常会使女性两侧的卵巢发生均匀性改变,因为雄激素的原因要比正常同龄阶段女性的卵巢大2-5倍 。卵巢通常表现为切面增厚,会出现白膜样的改变 。在临床B超检查种上多会出现超过12个直径约为2-9mm囊性卵泡,变现为无回声,呈现出项链状的排布,但是这些不成熟的卵泡通常呈现闭锁状态,并没有成熟的卵泡生成或排卵迹象 。

文章插图
4、子宫内膜异位症

文章插图
子宫内膜异位症主要是子宫内膜组织包括一些腺体出现在了子宫体以外的部位,这种异位成为异位症,大家可能不太熟悉这种异位的内膜可以侵犯全身任何部位比如说肾脏、膀胱、甚至是大腿手臂 。当这种内膜从子宫侵犯到卵巢的时候,便可以形成一种叫做宫内膜瘤的卵巢囊肿,即“巧克力囊肿” 。

文章插图
- 卵巢囊肿手术后会复发吗,卵巢囊肿手术后应当如何护理?
- 痔疮息肉切除后上厕所多是啥原因
- 五十多岁做了卵巢囊肿手术后来月经吗?
- 促排卵的药物会刺激卵巢吗?
- 哪些生活习惯伤害卵巢 哪些生活禁忌会影响卵巢功能?
- 多囊卵巢综合在医学上有没有根本zhi疗方法?
- 卵巢囊肿是怎么形成的原因?
- 胖多囊减肥后就好了吗 减肥成功以后多囊卵巢会好吗?
- 卵巢囊肿会不会癌变?需要手术切除吗?
- 胃息肉切除后,还会复发吗
特别声明:本站内容均来自网友提供或互联网,仅供参考,请勿用于商业和其他非法用途。如果侵犯了您的权益请与我们联系,我们将在24小时内删除。
