文章插图
骨关节炎的主要病理基础就是关节软骨的磨损 , 当软骨磨损以后 , 关节表面将变得不再像以前那样光滑 , 关节表面承受的压力也会有所改变 , 慢慢的就会出现骨质增生 , 严重影响关节周边的软组织 , 而手指往往是骨关节炎发病的重灾区 , 手指本来就比较细小 , 一旦发生了骨关节炎的改变 , 症状往往就比较明显 , 患者就会表现出来手指的疼痛、僵硬 , 而且手指的关节发生骨关节炎以后也会继发滑膜的炎症 , 由于出现了滑膜炎 , 对于温度的变化反应也会特别的明显 , 所以就比较怕冷 , 稍微有一点受凉 , 因为血管的收缩就会导致出现疼痛 。

文章插图
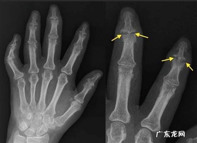
另外当患者患有骨关节炎的时候 , 早期会在手指的远端有一些特殊的改变 , 在患者的手指远端关节处会出现一些小的结节 , 触碰会有疼痛感 , 但如果不过度触碰是没有任何感觉的 , 在早期的时候甚至拍片子也发现不了明显的骨关节改变 , 这种情况 , 我们称之赫伯登结节 , 往往预示着患者身体存在着骨关节炎 , 也预示着手部将要出现比较明显的骨关节炎改变 。

文章插图
诊断:如果存在着手部僵硬、疼痛 , 活动受限 , 出现了赫伯登结节 , 那么应该高度可疑存在着骨关节炎 , 诊断往往要进行手部的x线检查 , 可以发现手指关节间隙的狭窄 , 可以发现轻度的骨质增生或者是严重的骨质增生 。也可以进行风湿4项化验 , 排除是否存在着痛风、风湿病或者是类风湿相关疾病 。

文章插图
zhi疗:

文章插图
●由于骨关节炎是一种退变性的疾病 , 手指关节的磨损一旦发生很难恢复如初 , 所以如果出现了症状 , 在日常生活当中要尽量减少过度的使用手指的情况 , 而且要注意保暖 , 尤其在刷碗和洗衣服的时候 , 如果要触碰凉水 , 一定要带一个塑胶手套 , 保护好自己的手指 。

文章插图
●如果疼痛比较明显 , 严重影响了生活质量 , 那么可以考虑外用非甾体抗炎镇痛药膏 , 帮助患者控制疼痛 , 有一种小药 , 非常的便宜 , 全国各地都可以买到 , 叫做双氯芬酸二乙胺乳胶剂 , 每天涂抹大于6次左右 , 每次涂抹超过三分钟 , 可以很好的帮助患者控制疼痛 。

文章插图
●口服一些控制骨质增生 , 控制骨关节炎进展的中药或者是中成药 , 也可以帮助患者控制症状 。

文章插图
●虽然骨关节炎导致的手指症状令人困扰的比较明显 , 但往往不需要手术zhi疗 , 经过系统的康复锻炼 , 可以很好的帮助患者维持手指的灵活度 , 控制疼痛 , 在文章的最后 , 谢医生将给大家详细的介绍 , 手指出现问题应该如何康复锻炼 。
- 《欢乐喜剧人6》总决赛落幕,网友总结孟鹤堂周九良惜败原因
- 男友为何总喜欢吮吸我的乳房入睡 我该怎么办
- 大便总是稀的,但肚子一点也不痛是怎么回事
- “婚姻中,别总想改造对方,要想办法适应对方”你怎么看
- 运动时总是口干舌燥,这是怎么回事?
- 小儿吃成人药会有什么危害?
- 星热点:为什么王俊凯总摸裤裆 王俊凯游泳下面凸起照片
- 这10种装修材料,预算范围内买最好的,都是过来人的经验总结
- 推荐50本熬夜看完的小说:各类型都有总有你喜欢的
- 快手牛总是谁 快手石家庄牛总背景揭秘
特别声明:本站内容均来自网友提供或互联网,仅供参考,请勿用于商业和其他非法用途。如果侵犯了您的权益请与我们联系,我们将在24小时内删除。
