前述《柳叶刀-呼吸病学》评论文章指出,除英国外,多国政府和各大学术团体对电子烟,均持毋庸置疑的反对态度 。来自美国和欧洲儿科学会、欧洲呼吸学会、美国胸科学会和国际呼吸学会联合会等的立场文件,都对电子烟发出过警告 。
“电子烟应该像烟草一样,受到同样的立法约束 。那些向未成年人提供相关产品的人,应该受到严厉的惩罚 。”
越甜美,越有毒
燕海英指出,电子烟不是香烟替代品,其本身就具有危害 。“电子烟问世时间较短,对它的毒副作用的研究较少,对健康的远期危害也不是很明确 。但可以肯定的是,电子烟对健康无益 。”
比如损害脏器功能 。燕海英提供资料显示,气道上皮细胞、神经干细胞、肝细胞等体外实验结果显示,暴露在电子烟烟油和烟雾后,细胞可发生氧化应激反应,炎症因子表达增加,线粒体形态功能失调或DNA损伤,致相应组织和器官生理功能受损,导致急性和慢性疾病 。
2019年11月,美国CDC公布“电子烟引发全国性肺损伤暴发”调查 。结果显示,继当年8月首例电子烟相关死亡被报道后,有2051例与电子烟有关的呼吸道疾病确诊或疑似病例,死亡39人 。超过一半者年龄不足25岁 。
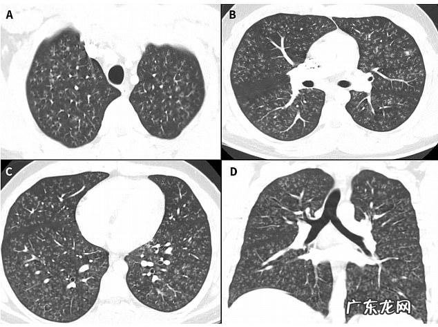
同年,多家海内外媒体报道过一名17岁加拿大少年的病例 。该少年出现剧烈咳嗽,被诊断为闭塞性细支气管炎,继而恶化为双肺衰竭,必须进行双肺移植 。影像学检查显示,其肺部“就像爆米花一样,面目全非” 。
病史分析发现,罪魁祸首就是电子烟 。该款电子烟使用调味剂双乙酰,一种常见的食用香精添加剂,可以模拟出黄油味 。但雾化后,双乙酰会增加闭塞性细支气管炎和其他严重呼吸道疾病风险 。

文章插图
图2 17岁少年住院第一天的肺部影像学结果 。/Canadian Medical Association Journal
有调查显示,可选择不同口味,是电子烟对未成年人的“最大吸引力”之一 。
荷兰国家公共卫生和环境研究院资深科学家莱因斯克·塔尔霍特(Reinskje Talhout)表示,几百种化学调味剂能组合出数千种口味 。“这能掩盖尼古丁的苦涩味,让口感变甜,对新用户更具吸引力 。”
“即使是在有明文规定的美国,电子烟的调味配方、剂量仍是不解之谜 。”美国北卡罗莱纳大学医学院儿科学教授伊洛娜·雅斯贝斯(Ilona Jaspers)介绍,有些添加剂加到食物中没有问题,但雾化、吸入就缺乏安全性数据 。
伊洛娜·雅斯贝斯团队发现,肉桂醛等电子烟常用调味成分,已被证实吸入后具有细胞毒性作用,可引起氧化应激反应,损害肺上皮细胞等 。
肉桂醛是芳香醛的一种 。研究人员对同一功能类别的其他化学物质,展开体外实验 。结果发现,乙基香兰素(模拟香草口味)和苯甲醛(模拟杏仁和樱桃口味)也有类似毒性 。

文章插图
图3 2018年,研究人员绘制电子烟“口味转盘”,发现有13个主要类别和90个子类别 。/Nicotine Tob Res
特异毒性,要命
电子烟致癌,也是被学术界密切关注的话题 。
电子烟烟油、烟雾含有被国际癌症研究机构认定为Ⅰ类致癌物的成分,如烟草特有的亚硝胺、醛类、多环芳香烃、部分重金属等 。
美国约翰·霍普金斯大学环境健康与工程系助理教授安娜·玛丽亚·鲁尔(Ana Maria Rule)于2014年,开始测量电子烟的金属含量 。她发现,对电子烟使用者而言,镍和铬是关系重大的金属暴露物,长期影响尚不明确 。但六价铬和一些镍化合物是已知的肺癌致癌物 。
- 特殊字符大全花样符号-名字符号大全花样符号
- 爆米花机价格,爆米花机价格图片
- 小阳台也能玩出大花样,一眼就让你沉沦!
- 户外露营桌也能玩出新花样
- 患病|39岁王凯自述患病经历 肺部有阴影此前烟瘾太大
- 玄关能玩什么花样?6大建议,让你的玄关美美的
- 六种跳绳方式玩出跳绳花样?
- 怎么用大米做爆米花
- 为什么学习花样跳绳的人特别少?2021年跳绳会不会火?
- 孩子的早餐要怎么变着花样来做?
特别声明:本站内容均来自网友提供或互联网,仅供参考,请勿用于商业和其他非法用途。如果侵犯了您的权益请与我们联系,我们将在24小时内删除。
