
文章插图
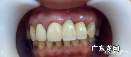
在个人年幼、牙齿处于矿化形成期的时候(8岁以内)服用了四环素药物,或者孕妇在怀孕期间服用四环素药物导致乳牙着色 。四环素亚呈黄色,在阳光照射下呈明亮的黄色荧光 。所以四环素牙笑起来一口黄牙,十分不美观 。四环素一般可以通过什么方式来进行美白呢?

文章插图
如果是轻度的四环素牙,可以考虑冷光美白 。冷管美白号称快速又安全的牙齿美白技术,美白剂主要是过氧化氢,一次性,低刺激 。在牙齿上涂层美白剂,用光照一照,牙齿就白些了 。全过程需要30—40分钟 。冷光美白牙齿技术,效果可以提高3个——14个色阶 。所采用的低温冷光对牙齿结构不会赞成不可逆的损害 。

文章插图
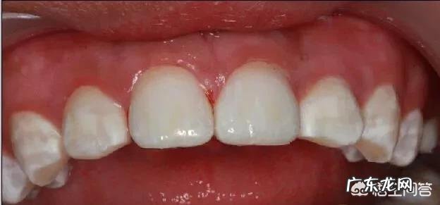
比较严重的四环素牙,冷光美白解决不了,可以尝试贴面修复这个方法 。全瓷贴面目前是国内外比较流行的贴面修复手段 。全瓷贴面修复还可以修复一些牙缝过大,牙体轻度的扭转或舌侧错位、牙体缺损等 。全瓷贴面色泽好,形态好,接近真牙,持续事件久 。

文章插图
洁白的牙齿会让外表加分不少,一口洁白整齐的牙齿更能增加一个人的气质美感,带给人更美丽的体验 。但是日常生活中由于疏忽了对口腔牙齿的保健,导致很多人的牙齿色泽出现问题,比如服用四环素导致的四环素牙齿,长期抽烟引起烟渍牙等 。那如何让四环素牙变白呢?
1.如果患者四环素牙是轻中度变色,可以考虑冷光美白技术增白牙齿 。受四环素影响和其他生活习惯导致的牙齿中轻度变色,超声波洁牙已经不能实现牙齿美白的效果 。使用目前牙齿美白最为流行的冷光美白技术,在牙齿上涂抹美白剂,然后通过蓝色的冷光照射,使美白剂快速透过牙齿本质小管到达牙齿涂层,与沉积于此处的色素产生氧化还原作用,使黄牙变浅变白 。该技术对于外源性色素沾染、内源性色素沉着等牙齿,有较为明显的改善效果,再则,维持时间也会比较长久 。
2.对于严重变色的四环素牙,需要进行局部的牙齿修复 。可以选贴面、烤瓷牙,以帮助变色严重的牙齿恢复白皙 。瓷贴面主要通过沾粘材料将人工亚次面固定在原本的牙齿面,以此遮住牙齿表面的缺损或色素牙,达到美化牙齿的效果 。此过程中,通过计算机辅助成像,计算机智能打磨和制作,制作成与真牙色泽、形状完美贴合的全瓷贴面,然后将牙齿磨掉薄薄一层,将瓷贴片贴在变色牙的表面即可恢复美观 。烤瓷牙可以改善四环素牙的情况,不仅能快速改变牙齿的颜色,还能修复牙齿的外形,矫正牙齿本身的畸形 。烤瓷牙修复后固定性强,不易损坏 。

文章插图
点击页面下方【了解更多】可查看更多医师解答或免费向医师提问
关注“家庭医生在线”头条号,更多健康问答轻松看~~~
可通过冷光美白、瓷贴面、全瓷冠修复方式进行对四环素牙的遮盖 。

文章插图

文章插图
(瓷贴面)
一、四环素牙发病机制
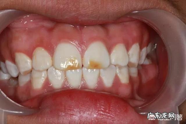
在牙的发育矿化期,服用的四环素族药物可被结合牙组织内使牙着色 。初呈黄色,在阳光照射下则呈明亮的黄色荧光,以后逐渐有黄色变成棕褐色或深灰色,这种转变是缓慢的,并能被阳光促进,所以切牙的唇面最先变色 。一般说来,前牙比后牙着色明显,乳牙着色又比恒牙明显,因为乳牙的釉质较薄、较透明,不易遮盖牙本质中四环素结合物的颜色 。牙着色程度与四环素的种类、剂量和给药次数有关 。
- 大明朱祁钰跟朱祁镇,两人相比如何?
- 做梦梦见自己的牙齿掉了了是好事还是坏事?
- 经常痛经如何改善?
- 如何从零开始,练习引体向上?
- 个人网站被恶意攻击,该如何立案?
- 健康小贴士高温夏日如何清洗女性私处
- 京东快车的位置在哪里?如何提高排名?
- 京东快车质量分怎么养?如何降低花费?
- 职业规划很迷茫?该如何找到自己的方向呢?
- 点淘七夕达人如何创作?创作指南来袭
特别声明:本站内容均来自网友提供或互联网,仅供参考,请勿用于商业和其他非法用途。如果侵犯了您的权益请与我们联系,我们将在24小时内删除。
