二、临床表现
1、第一阶段(轻度四环素着色):整个牙面呈现黄色或灰色,且分布均匀,没有带状着色 。

文章插图
2、第二阶段(中度四环素着色):牙着色的颜色由zhong棕黄色至黑灰色 。
3、第三阶段(重度四环素牙):牙表面可见到明显的带状着色,颜色呈黄-灰色或黑色 。
4、第四阶段(极重度四环素着色):牙表面着色深,严重者可呈灰褐色,任何漂白治疗均无效 。
四环素牙引起牙着色和釉质发育不全,都只在牙发育期才能显现出来 。一般来说,在6-7岁后再给药,不致引起注目的牙着色 。

文章插图
三、防治原则
为防止四环素牙的发生,妊娠和哺乳的妇女以及8岁以下的小儿不宜使用四环素类药物 。着色的牙可通过光固化复合树脂修复、烤瓷、全瓷冠修复或漂白等方法进行治疗 。

文章插图
四环素牙齿分为轻度,中度和重度,看程度来定,如果轻度的话,普通的临床美白技术也是可以的,如果担心效果不是很明显,那么可以选择牙齿贴面或者是美容冠,都是可以的 。
四环素牙美白方法如下供参考
方法/步骤
1
瓷贴面修复:此招先将唇侧面部分牙釉质磨除后,用瓷贴片覆盖牙表面以遮盖变色的牙齿 。该法的遮色效果很好,可供患者选择的颜色范围也较广,与牙体之间的黏结强度很高 。但缺点是需要均匀磨除较多的牙体组织,且瓷贴面若有崩损,一般都需要全部拆除重新制作,其制作费用也相对较高 。
2
360°炫彩冷光美白:它将高强度彩光定点照射,操作过程不接触牙龈,不会造成任何损害 。它不仅可以去除牙齿表面的色素沉积,及深层所附着的色素,其美白效果更加持久有效 。
3
3D生态美容冠修复:与上述两种方法比较,3D生态美容冠需要均匀地磨除整个牙体的表层(约1mm),经过制备的牙体就像正常牙体的微缩版 。然后利用美牙冠恢复牙齿的外形,达到改变牙齿颜色的目的,其固位效果较佳,且在修复的同时也矫正了某些牙齿本身的畸形,如牙冠过小、牙间隙过大等 。
4
牙齿外脱色法(牙齿漂白)
主要原理是利用一些药物降低牙釉质的钙化程度,降低其透明度,使牙体呈白变色以达到遮色的效果 。优点是对牙齿没有永久性
5
使用牙`齿`黄金——修复系,其有效成份可通过有效清除四环素牙表面的矿化物质,修复受损的牙齿釉质,在牙齿表面加上一层生物保护层,令四环素牙恢复自然光泽,而起到自然美白的效果 。
有四环素牙真的会让尴尬,四环素牙不同别人的小黄牙 。
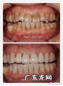
四环素牙是在牙齿发育期间服用了过量的或者一定量四环素药物导致的牙齿着色的一种很重要的类型,四环素是一种土黄色或者是黄褐色的药物,它沉积在牙齿上,牙齿就会表现为土黄色,或者是黄褐色 。如果是更严重的四环素,牙甚至会表现为灰褐色、深灰色或者黑色 。

文章插图
一般轻度和中度的四环素牙是可以通过冷光美白达到一定效果的,要是重度的四环素牙,需要做瓷贴面或者是美容冠美白达到效果的 。
四环素牙如何美白?四环素牙的美白方法,如果是不伴有牙体组织缺损的轻度四环素牙,首先推荐牙齿美白的方法,可以采用家用的或者是诊室的,或者是两者相结合的,这样对牙齿损伤最小,如果通过美白的方式已经能够达到患者的心理预期,就不建议采用修复的方法 。
- 大明朱祁钰跟朱祁镇,两人相比如何?
- 做梦梦见自己的牙齿掉了了是好事还是坏事?
- 经常痛经如何改善?
- 如何从零开始,练习引体向上?
- 个人网站被恶意攻击,该如何立案?
- 健康小贴士高温夏日如何清洗女性私处
- 京东快车的位置在哪里?如何提高排名?
- 京东快车质量分怎么养?如何降低花费?
- 职业规划很迷茫?该如何找到自己的方向呢?
- 点淘七夕达人如何创作?创作指南来袭
特别声明:本站内容均来自网友提供或互联网,仅供参考,请勿用于商业和其他非法用途。如果侵犯了您的权益请与我们联系,我们将在24小时内删除。
