
文章插图
有人可能会说陈医生有点夸大其词 , 我给大家罗列几个大家常见的结节的发病率 , 大家就不会这样认为了!

文章插图
diyi个 , 像我们的甲状腺结节 。40岁的人去查一个B超 , 10个里面大概有4个有甲状腺结节 , 发生率能达到40%以上 , 非常高;

文章插图
第二个 , 也是大家特别熟悉的肺结节 。体检查出肺部小结节的比例高达20-30% , 而对于吸烟人群 , 这种检出率更高 , 接近50% , 而我们国家有3亿以上的烟民;

文章插图
第三个 , 女性比较常见的乳腺结节 。有研究显示 , 在2%—4%的女性当中 , 都有临床上可触诊不清的乳腺肿物 , 虽然这些乳腺结节样变大部分为生理性改变 , 但仍有20%~30%为乳腺癌 。

文章插图
除此之外 , 还有我们的肝脏结节、淋巴结节等 。所以 , 结节这东西 , 很多人这一生 , 都可以跟它要打交道 , 不是有这个结节 , 就可以长那个结节 , 甚至同时存在两种以上的结节 。那么这些结节能不能消除?消除身体结节最好的方法是什么?我今天就跟大家一起来交流下这个话题 。

文章插图

文章插图
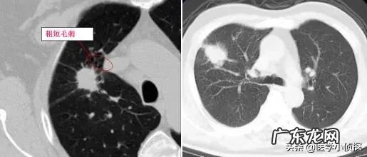
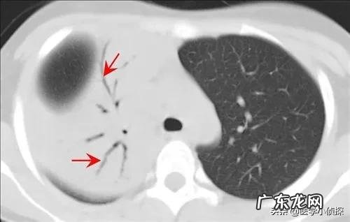
先讲一下大家最为熟悉的肺结节 。首先 , 大家要记住 , 一般我们说的肺结节 , 指的都是≤3cm以下的结节 , 对于超过3cm的结节 , 我们就不再叫它结节了 , 而是称之为肿块 。

文章插图
而且拍片发现肺结节 , 本身不能说我们得了什么病 , 因为肺结节只是我们影像学上的一种表现 , 并不代表这个结节具体会是个什么东西 。只是对于我们正常人来说 , 不应该有结节 , 因此结节的出现肯定代表我们的肺部有病变 , 但具体它是什么 , 是良性的 , 还是恶性的 , 需要进一步的来区分 。只不过 , 一般情况下 , 在影像下我们统称这些都叫肺结节 。

文章插图
而同样 , 我们既不知道它是个什么东西 , 也不知道它是怎么来的 , 有一部分人可能跟我们的肺部炎症有关;而有一部分可能与肺结核有关 , 但具体一个人为什么会长肺结节 , 目前并没有研究清楚 , 这就导致了很多在看到自己体检报告肺部有结节时候会有点恐慌!

文章插图
事实上 , 大可不必!

文章插图
假如你胸部CT检查出肺结节 , 重点关注报告单上这些内容 , 基本上不用过于担心肺结节最后会发展为晚期肺癌!
- 大家知道哪种蛋白粉好些?我在健身,想增肌增重,
- 喝什么牛奶对身体好而又不长胖?求大神帮助
- 竹凉席常睡对身体有害吗?竹凉席怎么保存
- 水质不好鱼有什么表现 水质不好对身体有什么大的危害?
- 比正常的体重超100多斤的人,减肥从哪里入手比较好呢?
- 淘宝销量权重和搜索权重的区别在哪?怎么分辨?
- 问一下牛胸围131厘米体长103厘米怎么算体重?
- 婴儿感冒会影响体重增加吗?
- 入伏吃什么去湿?入伏吃什么能排出体内湿气?
- 坦克十级重坦排名? 坦克大全排行榜
特别声明:本站内容均来自网友提供或互联网,仅供参考,请勿用于商业和其他非法用途。如果侵犯了您的权益请与我们联系,我们将在24小时内删除。
