
文章插图
事实上 , 对于临床上发现肺结节的人来说 , 包括我们医生 , 考虑最多的也就是这个肺结节是良性 , 还是恶性问题!

文章插图
那么最后 , 我们就具体来讲一下 , 到底什么样的肺结节 , 我们需要立即zhi疗?而哪些要考虑先随访?又要随访多久?先说需要立即zhi疗的!

文章插图
简单来讲 , 那就是恶性特征越多 , 我们说这个肺结节恶性的可能性就越大 , 就需要我们立即去zhi疗!

文章插图
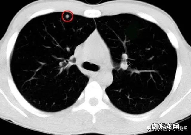
而所谓的恶性特征 , 我们目前比较常遇到就是下面这7种 , 而只要你的肺结节符合4个以上 , 那么我们医生就会告诉你 , 你的这个结节是可疑恶性 , 像这样的结节不再推荐保留 , 通过随访方式来观察 , 最好及时进行手术切除!
diyi种 , 肺结节中出现下面这种分叶征
第二种 , 肺结节周边呈现毛刺征
第三种 , 肺结节有胸膜牵拉征(也叫做凹陷征)
第四种 , 肺结节内部可见如下图类似空泡征
第五种 , 肺结节呈现一种支气管管征
第六种 , 肺结节出现典型的棘状突起
第七种 , 肺结节周围结构集中征 , 尤其是出现了明显的血管向结节聚拢的时候 , 我们要高度警惕恶性的可能 。
而相反 , 假如出现下面3种特征 , 基本上以良性的比例多见 。
diyi个 , 晕征 , 就是病灶周围的磨玻璃影 , 最常见于真菌感染、肺结核
第二个 , 肺结节呈“彗星征” , 这种多见于血管的畸形和局部的肺隔离症
第三个 , 肺结节内有钙化 , 往往在我们肺炎、肺结节等这些病变转归过程中 , 比较多见
注意 , 教大家这些 , 只是作为了解 , 实际上我并不推荐患者本人自己拿着这个片 , 自己去看 , 去对比 , 去猜测这些征象 。因为肺结节表现远远比我刚刚举个例子要复杂的多 , 我那些都是看的比较清楚 , 典型病例 , 真正需要判断 , 一定是要交给我们专业的医生 , 在高分辨率CT指导下进行评判的 , 个人并不推荐自己看片!
接着聊一下随访的肺结节!
对于没有明显恶性特征的肺结节 , 我们医生很多时候都会选择让我们病人进行随访 , 而所谓随访 , 就是定期做CT检查 , 通过其增长速度来判断肺结节的良恶性!
因为对于我们体内不同性质的病变 , 它的生长基本上都是由一定的规律周期的 , 临床上 , 为了统一 , 更好对比 , 我们把这个病灶体积增加一倍所用的时间 , 称之为倍增时间 。而像我们的恶性肿瘤 , 它的倍增时间就比较广 , 从42天到18个月 。
所以 , 大家可以看到 , 假如这个肺结节 , 它就在这一星期就大了一倍 , 或者更多 , 实际上这反而不一定说明这个肺结节就是恶性的 , 相反 , 还更可能是炎性的病变 。
- 肺结核病人痊愈了,还传染吗
- 肺结节病的症状和zhi疗是什么
- 心肺功能不好应该怎样提高?
- 很久没运动过,心肺功能很差的人怎么减脂?
- 有人说,有没有肺癌,看手指就能知道,要怎样看? 如果自己得肺癌手指有何征兆
- 肺不张没有住院,现在没有什么症状靠锻炼能好吗?
- 对比新冠肺炎和癌症、重症,大家怎么看? 怎么分辨新冠肺炎重症
- 肺癌患者能喝茶吗-肺癌患者喝茶需要注意什么
- 病毒是怎么产生和传播的?
- 新型冠状肺炎什么时候才可以解决,会不会要几个月?
特别声明:本站内容均来自网友提供或互联网,仅供参考,请勿用于商业和其他非法用途。如果侵犯了您的权益请与我们联系,我们将在24小时内删除。
