这是一个非常常见、现实的问题 , 因为每天都有很多人被查出肺部有结节 , 而且他们当中有很多人都会被我们医生建议做一个定期复查 , 随访 , 而随着而来的问题就是这肺结节要随访多久?怎么样就说明我们的肺结节是良性的?没有危险的?一旦随访了 , 何时是个头?今天我就跟大家一起来聊一聊这个话题!

文章插图

文章插图
首先 , 我们来看一下 , 什么是肺结节?它是怎么被发现的?结节 , 其实大家就想一下 , 我们小时候不小心摔了 , 身上留下的伤疤 , 其实结节就像“伤疤”这样的东西 , 而所谓的肺结节 , 其实就是存在于我们肺部的“伤疤”!

文章插图
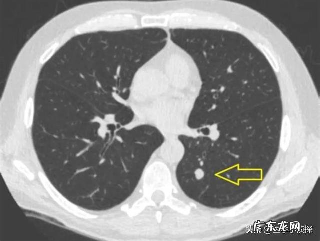
但注意 , 不是所有的伤疤 , 我们医生都把它叫做肺结节 , 而只有“伤疤”直径≤2cm的 , 我们就称为肺结节 , 并且发现我们肺部有结节 , 并不代表我们得了一种什么病 , 它只是如下图所示 , 我们影像科医生拍片 , 在我们肺部发现的一种影像学表现 。

文章插图

文章插图
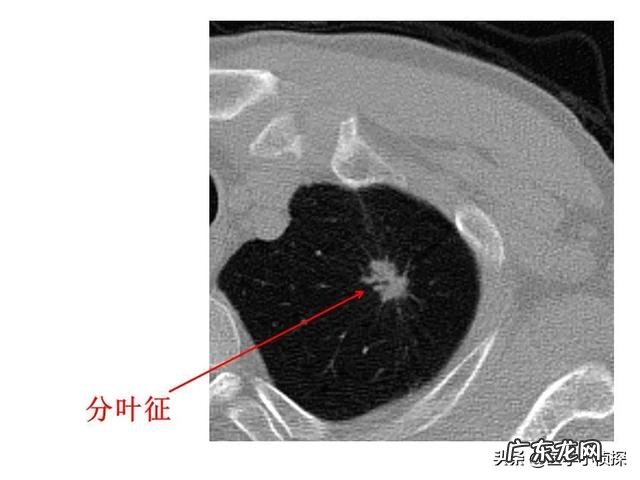
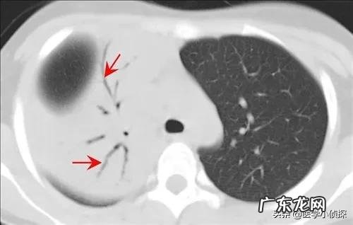
而且肺结节的话 , 它也不是我上面那张图那样的只有一种类型 。实际上 , 我们临床上发现的肺结节有很多种类型 , 比如说我们有下面这种只有实性成分的实性结节 。

文章插图

文章插图
还有亚实性结节 , 而且亚实性结节又分为下面这种纯磨玻璃结节

文章插图

文章插图
以及上面这种混杂密度的磨玻璃结节 , 就是其中含有部分实性成分 。

文章插图
只不过是不管是实性结节 , 还是像磨砂玻璃那样的 , 似透非透的那种结节 , 只是它的大小≤2cm , 甚至<1cm , 我们医生称之为肺结节 , 再大一点就不是了 , 那就叫做肺肿块了!

文章插图
所以 , 发现肺结节很简单 , 就是拍片 , 但是最好选择拍CT , 就可以了 , 立马就能知道我们肺里面到底有没有这个肺结节!

文章插图
其次 , 我们说 , 发现肺结节显然不是我们目的 。虽然肺结节不是一种病 , 但是正常情况下 , 我们正常人是不应该有这个肺结节的而不应该有的东西 , 出现了!

文章插图
那显然这不是什么好事情 , 尤其是在我们身体重要脏器——肺部出现了这样一个或者几个莫名其妙结节状的东西 , 难免会让人想起目前发病率、死亡率最高的肺癌 , 这肺结节有没有可能是肺癌?或者说是肺癌先兆?会不会恶化?
- 肺结核病人痊愈了,还传染吗
- 肺结节病的症状和zhi疗是什么
- 心肺功能不好应该怎样提高?
- 很久没运动过,心肺功能很差的人怎么减脂?
- 有人说,有没有肺癌,看手指就能知道,要怎样看? 如果自己得肺癌手指有何征兆
- 肺不张没有住院,现在没有什么症状靠锻炼能好吗?
- 对比新冠肺炎和癌症、重症,大家怎么看? 怎么分辨新冠肺炎重症
- 肺癌患者能喝茶吗-肺癌患者喝茶需要注意什么
- 病毒是怎么产生和传播的?
- 新型冠状肺炎什么时候才可以解决,会不会要几个月?
特别声明:本站内容均来自网友提供或互联网,仅供参考,请勿用于商业和其他非法用途。如果侵犯了您的权益请与我们联系,我们将在24小时内删除。
